WEB予約はコチラから
お問い合わせはコチラから
当院の口コミはコチラから
  1. ホーム
  2. 症例

症例

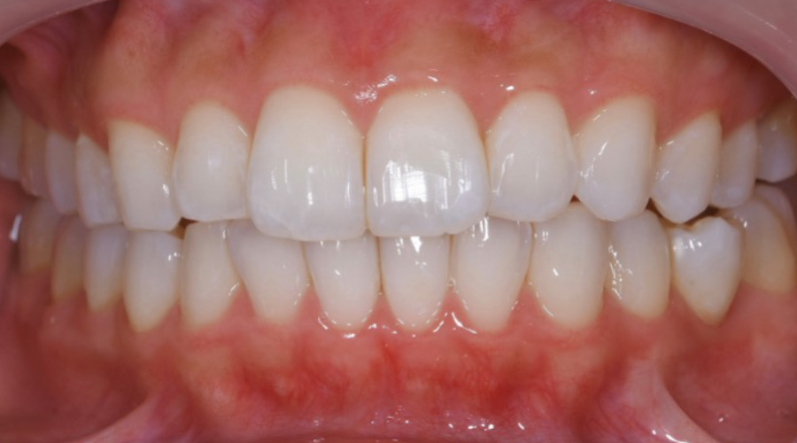
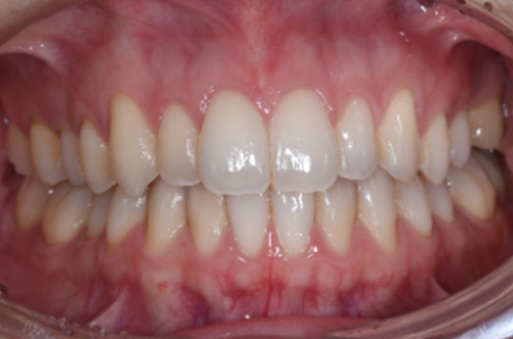
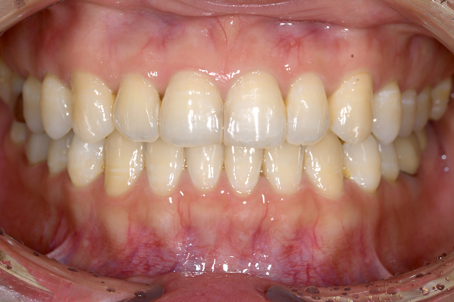
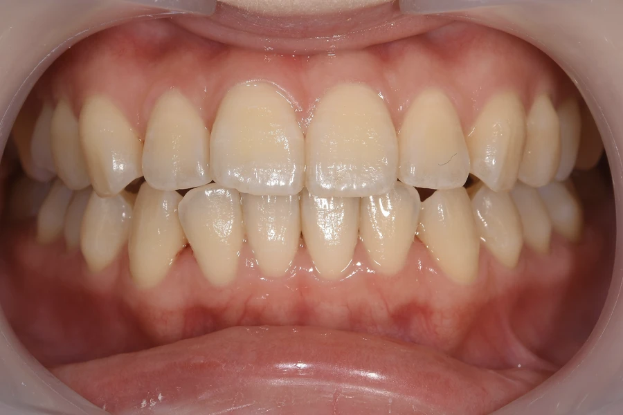
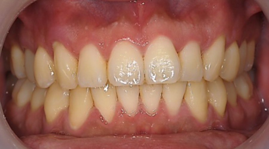
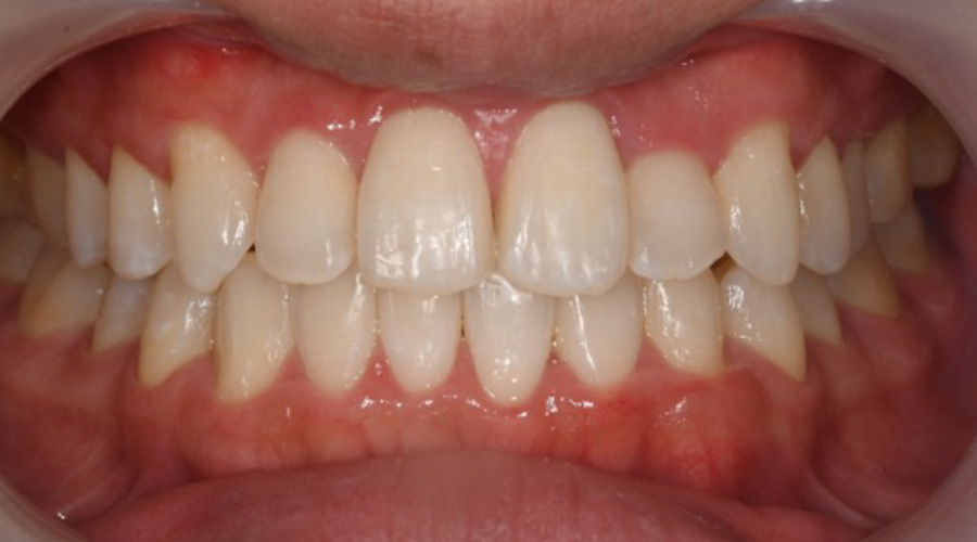
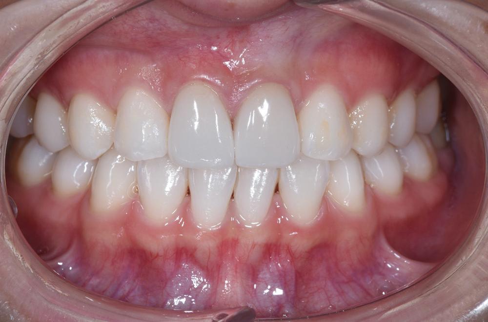
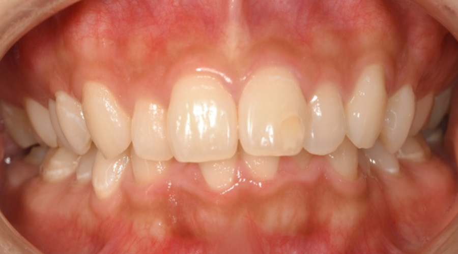
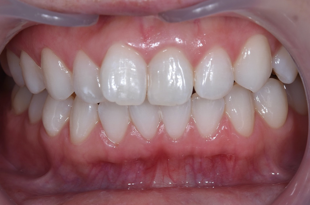
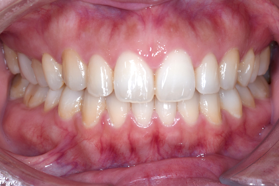
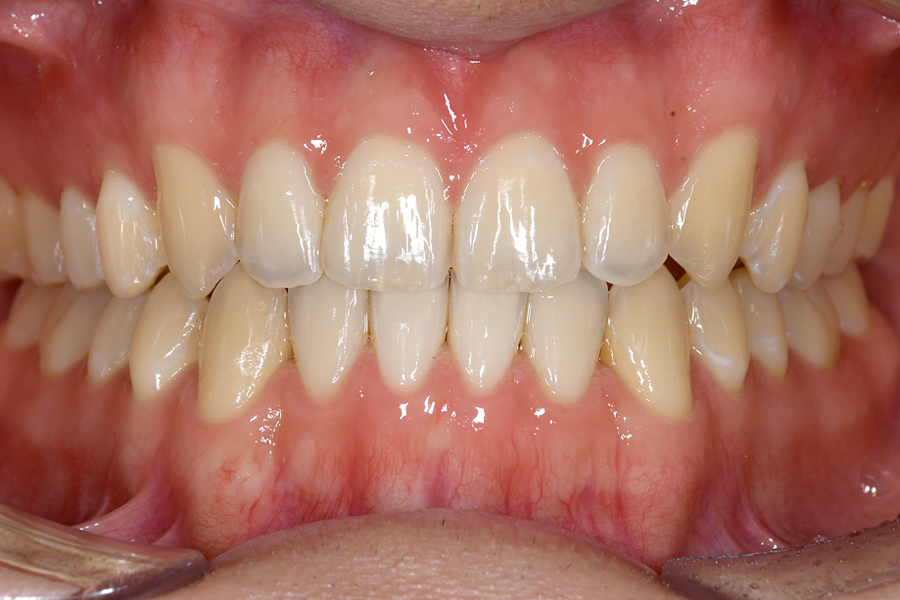
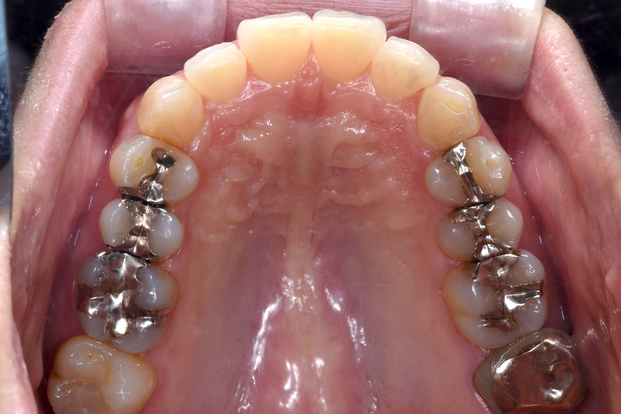
前歯のガタつき
が気になる
【マウスピース矯正】

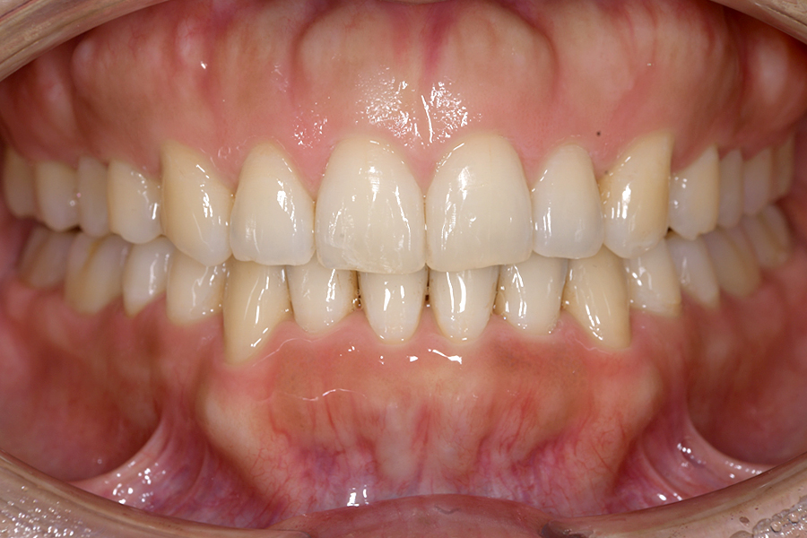
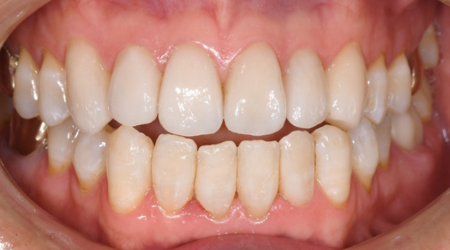
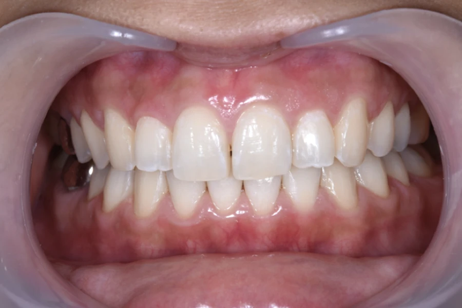
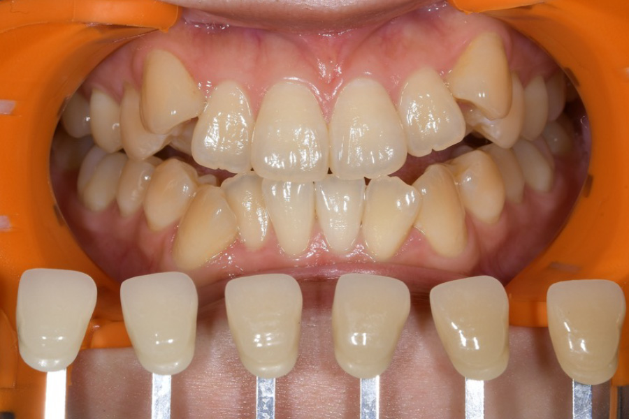
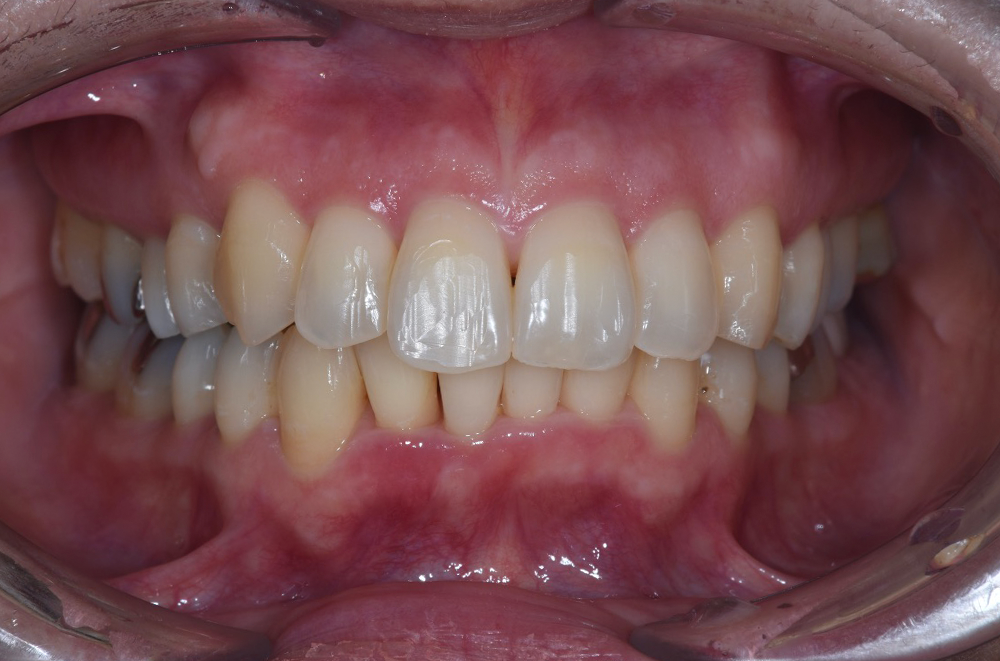
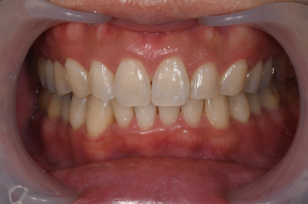
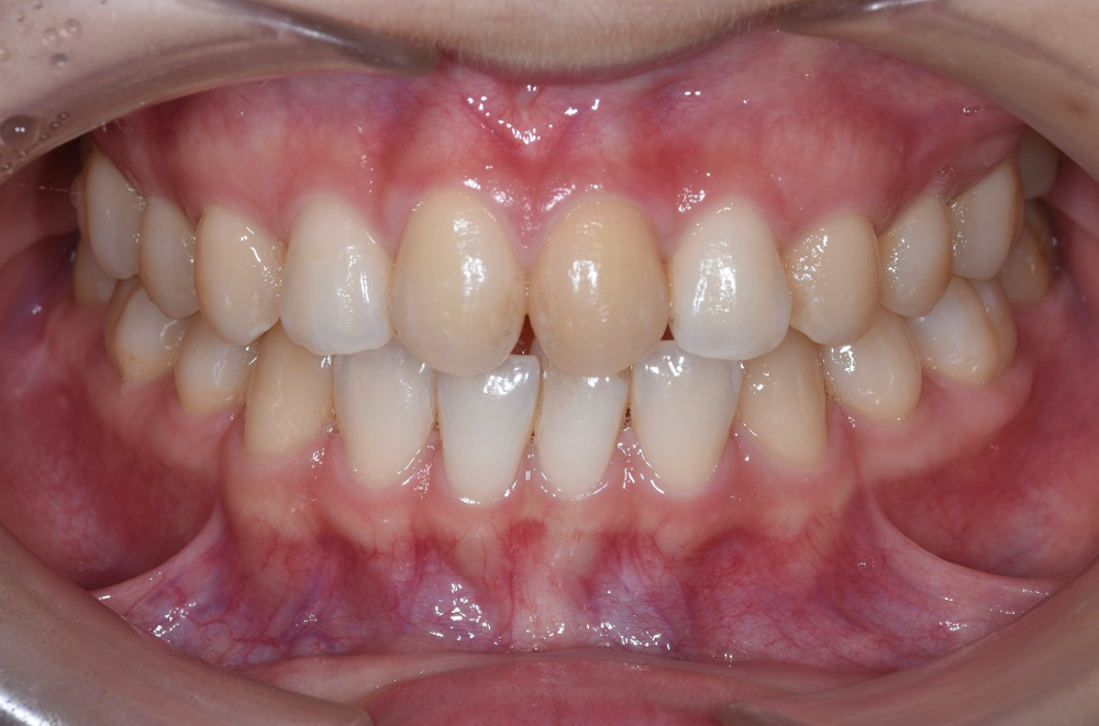
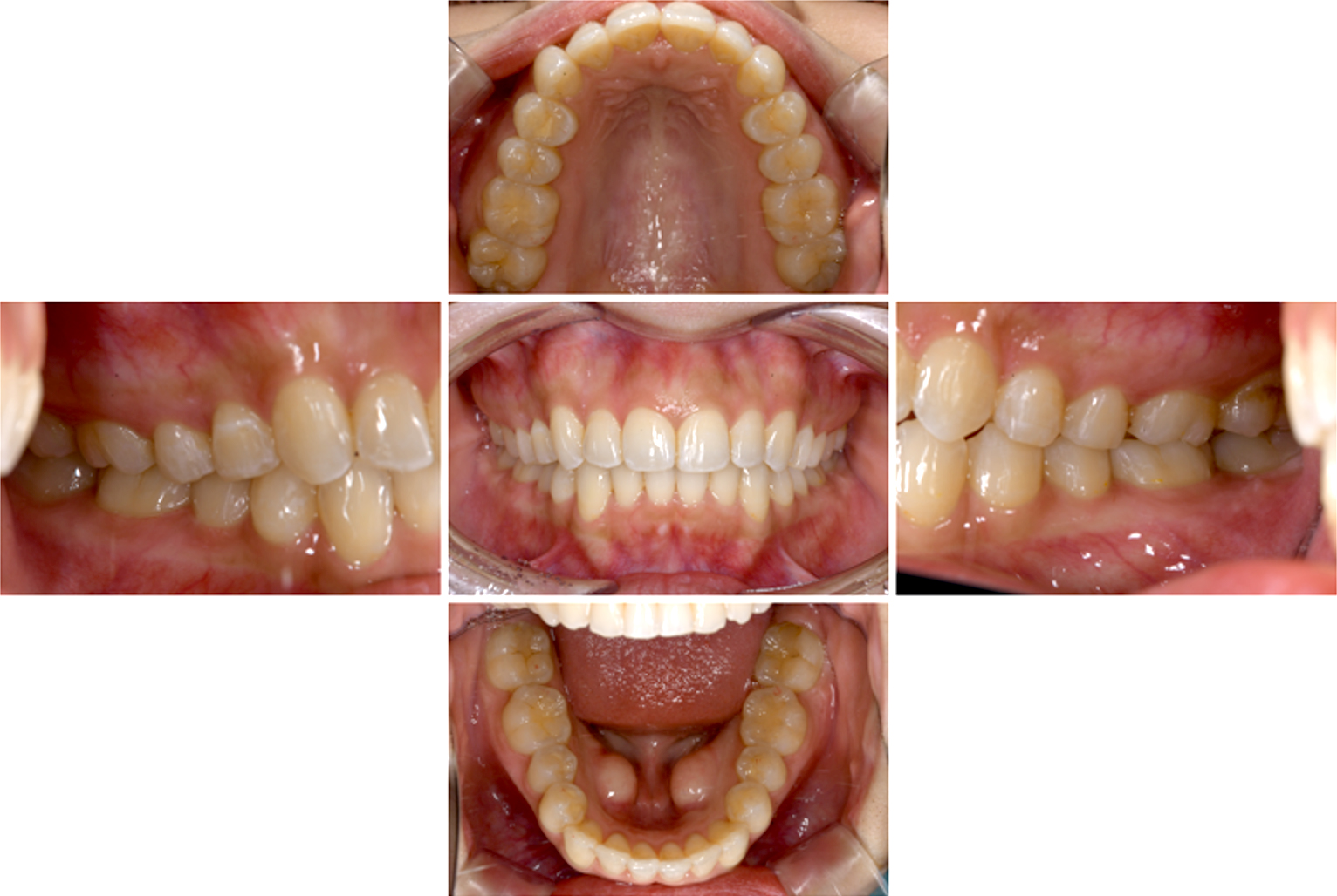
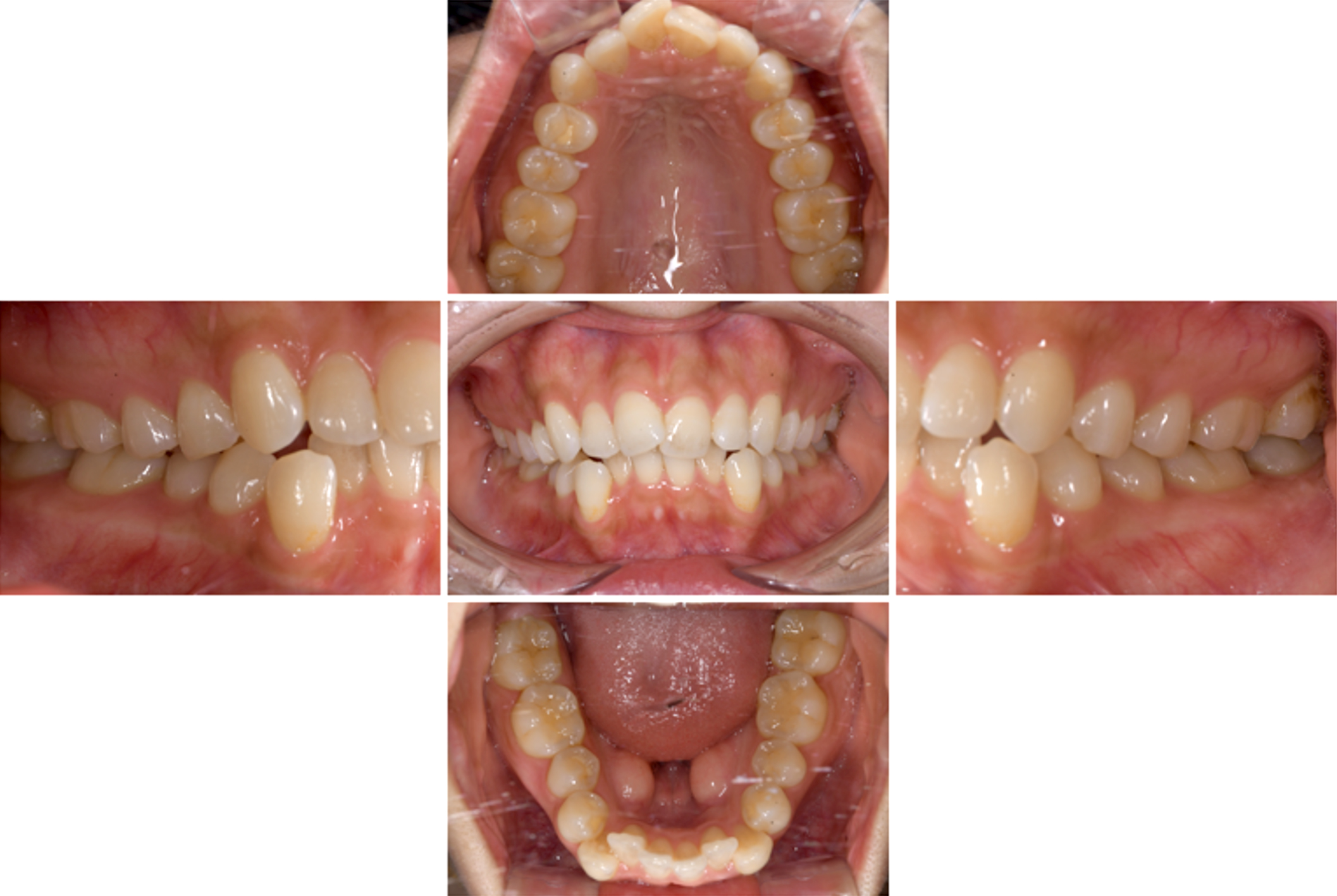
歯並びを治したい
【マウスピース矯正】

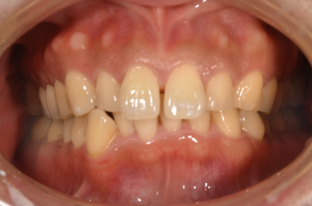
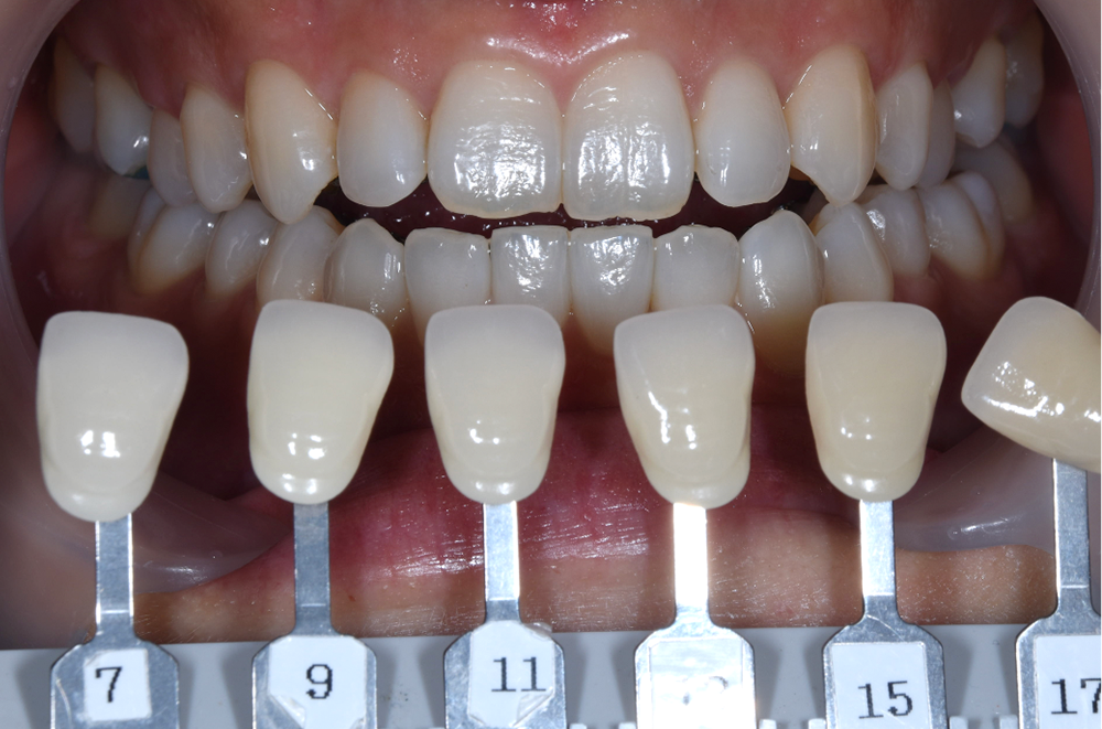
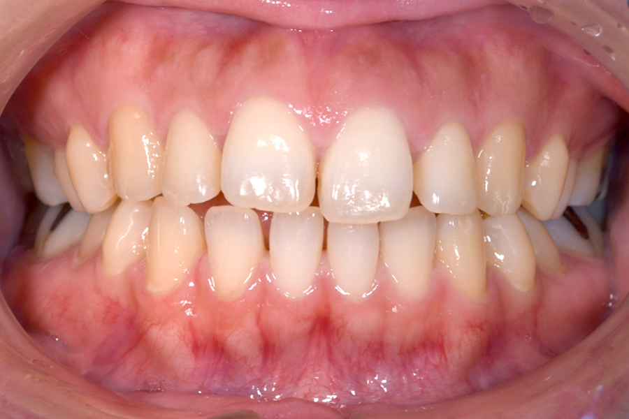
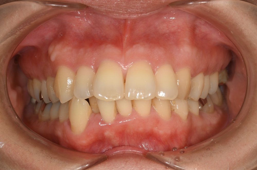
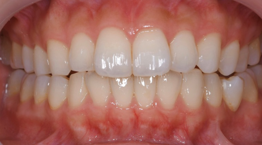
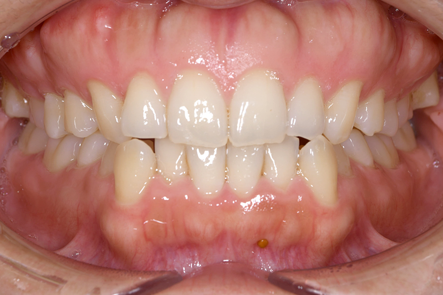
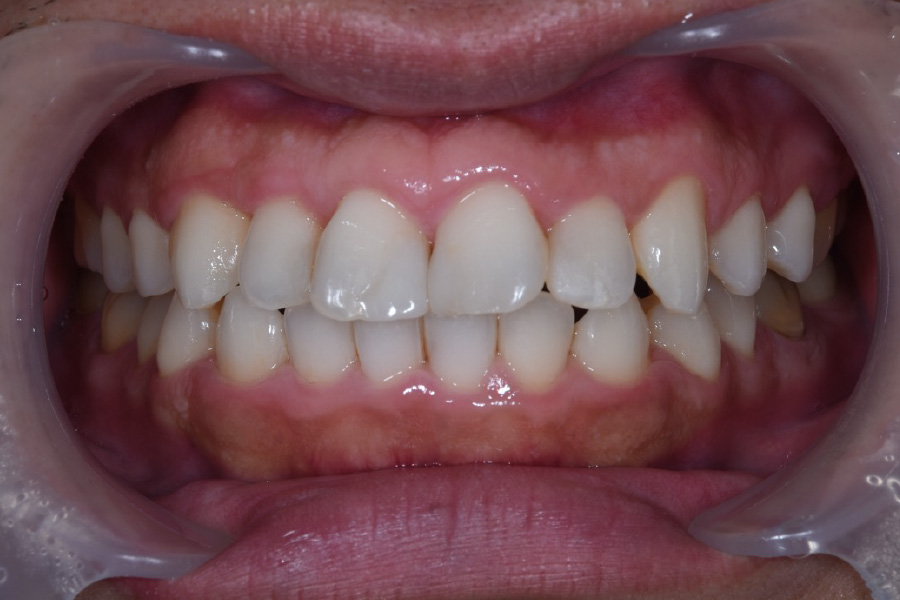
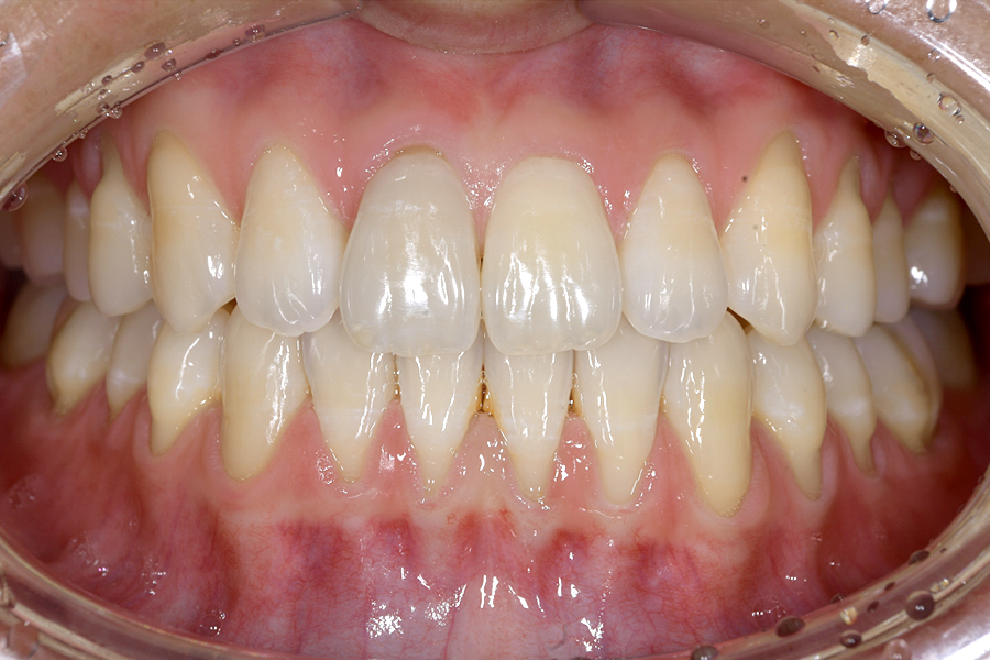
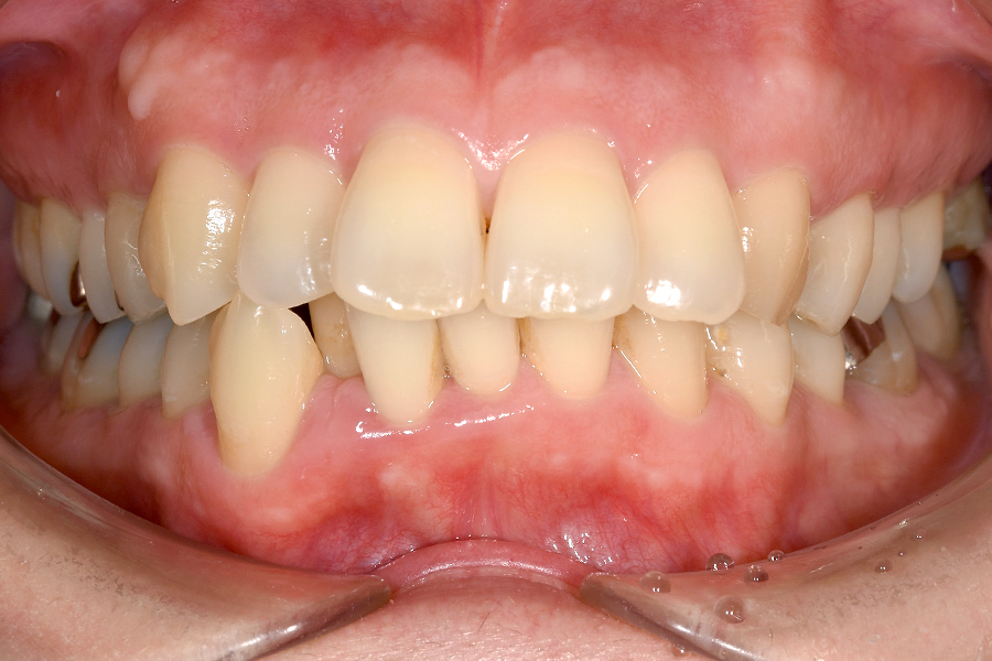
主訴
他院でこの噛み合わせ・歯並びだと歯周病になる可能性が高いと言われて気になりはじめた

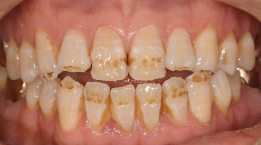
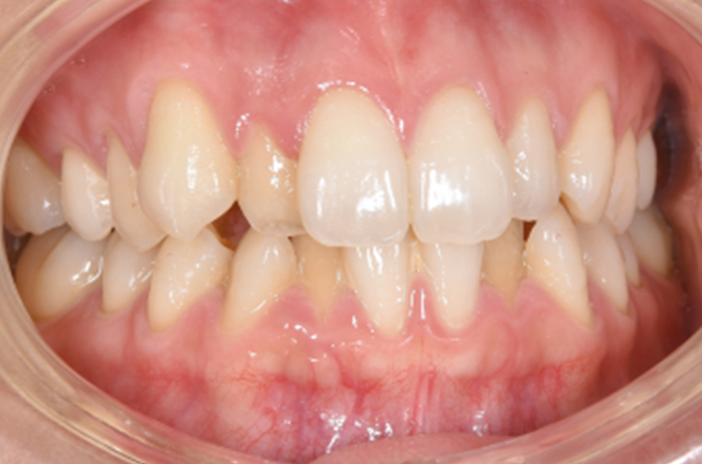
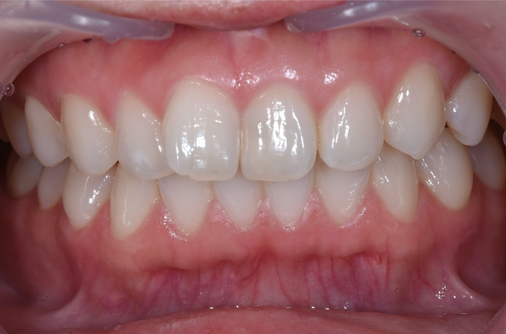
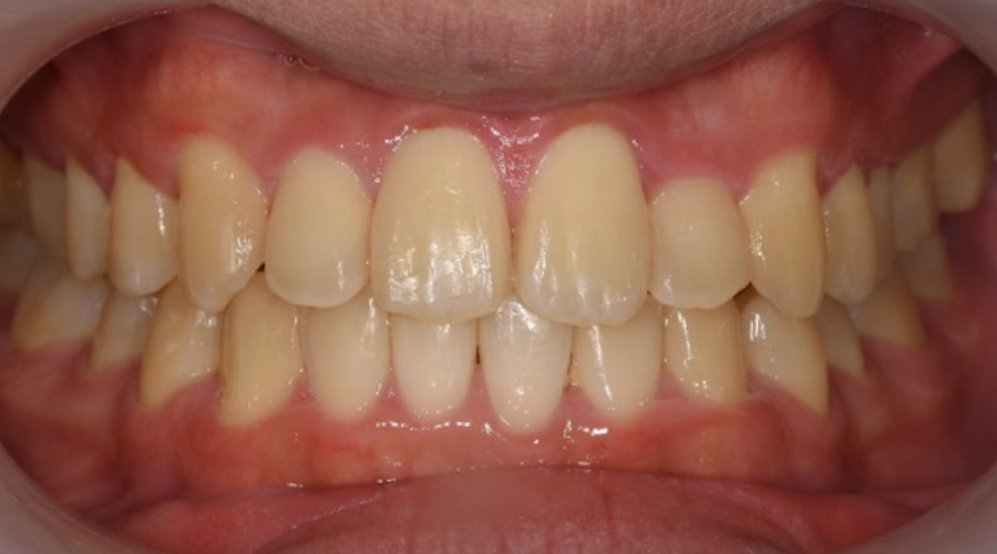
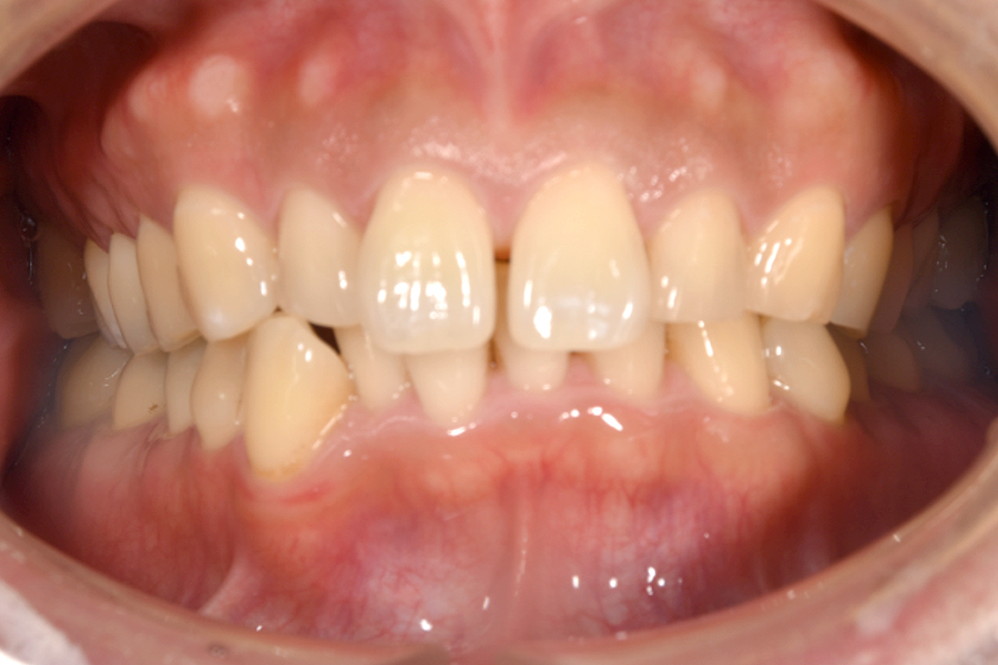
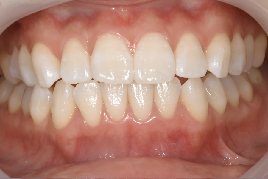
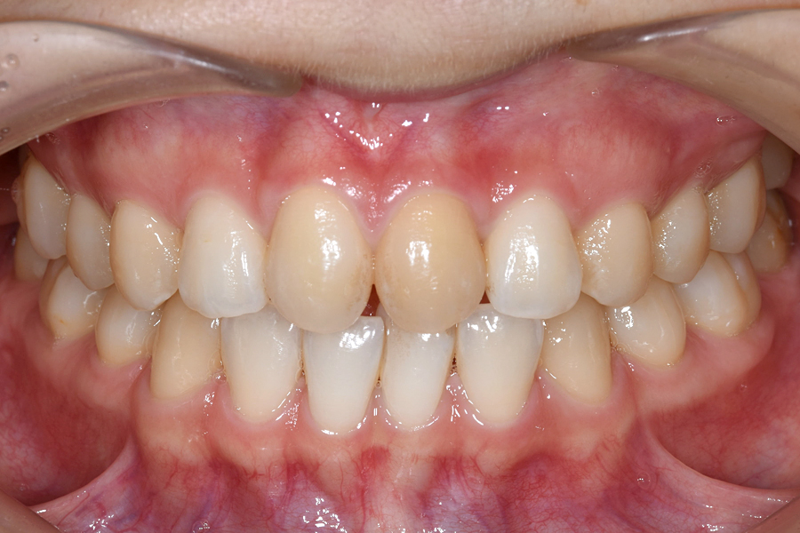
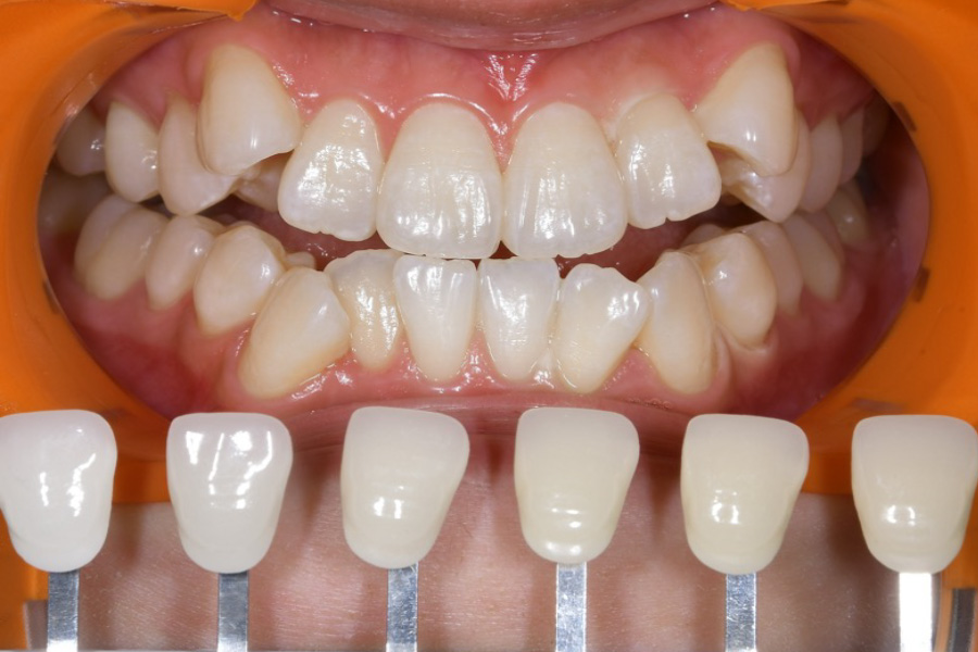
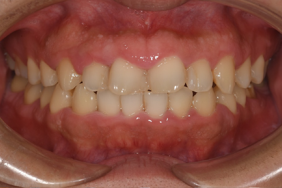
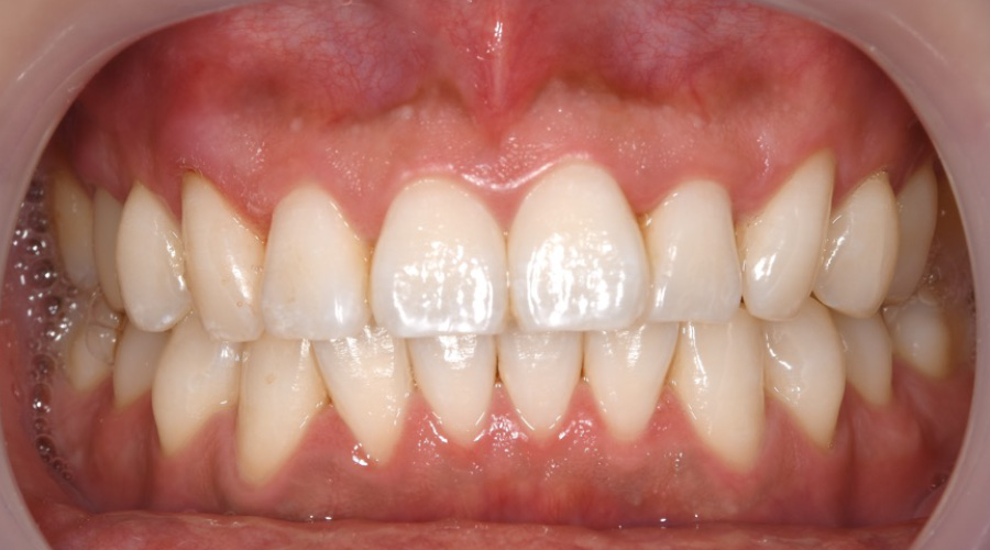
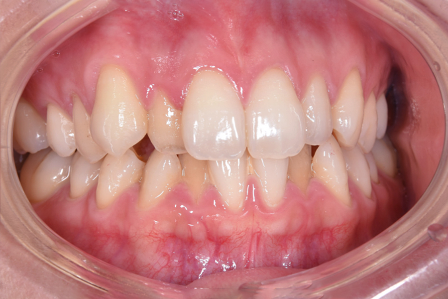
上下前歯のガタツキと
ねじれが気になる
【マウスピース矯正】

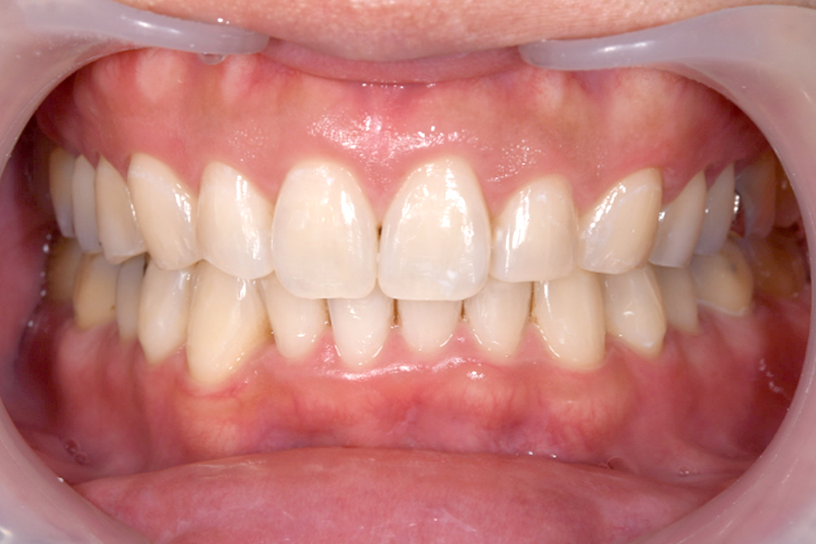
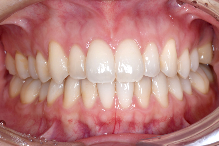
上下前歯のすきっ歯が
気になる
【マウスピース矯正】

前歯の噛み合わせ、
下顎前歯の隙間が気になる
【マウスピース矯正】

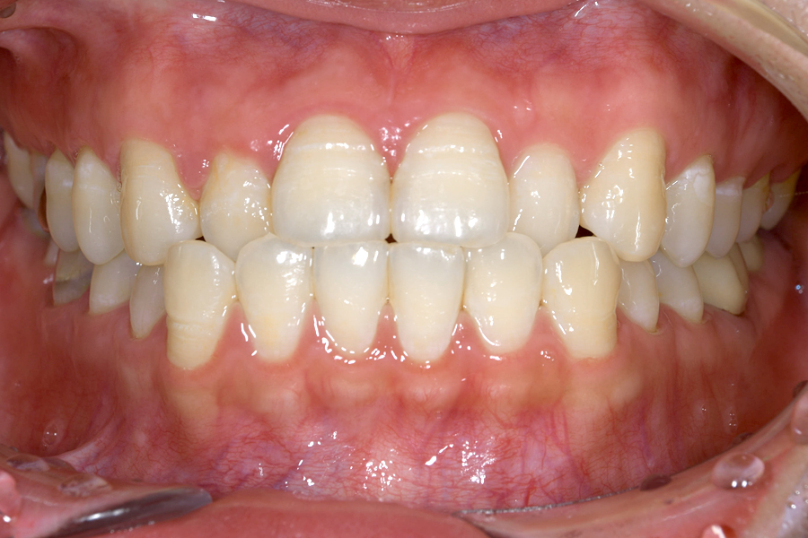
上下前歯のガタツキ、
かみ合わせが悪い
【マウスピース矯正】

上の前歯の隙間と
下の前歯のガタツキ、
かみ合わせが悪い
【マウスピース矯正】

上の前歯が出っ歯、
突出が気になる
【マウスピース矯正】

上下前歯のガタツキと
かみ合わせが悪い
【マウスピース矯正】

  • 院内紹介
  • 院内紹介
  • 院内紹介
  • 院内紹介
  • 院内紹介
  • 院内紹介
  • 院内紹介
  • 院内紹介
  • 院内紹介
  • 院内紹介
  • 院内紹介
  • 院内紹介
  • 院内紹介
  • 院内紹介
  • 院内紹介
  • 院内紹介
  • 院内紹介
  • 院内紹介