WEB予約はコチラから
お問い合わせはコチラから
当院の口コミはコチラから

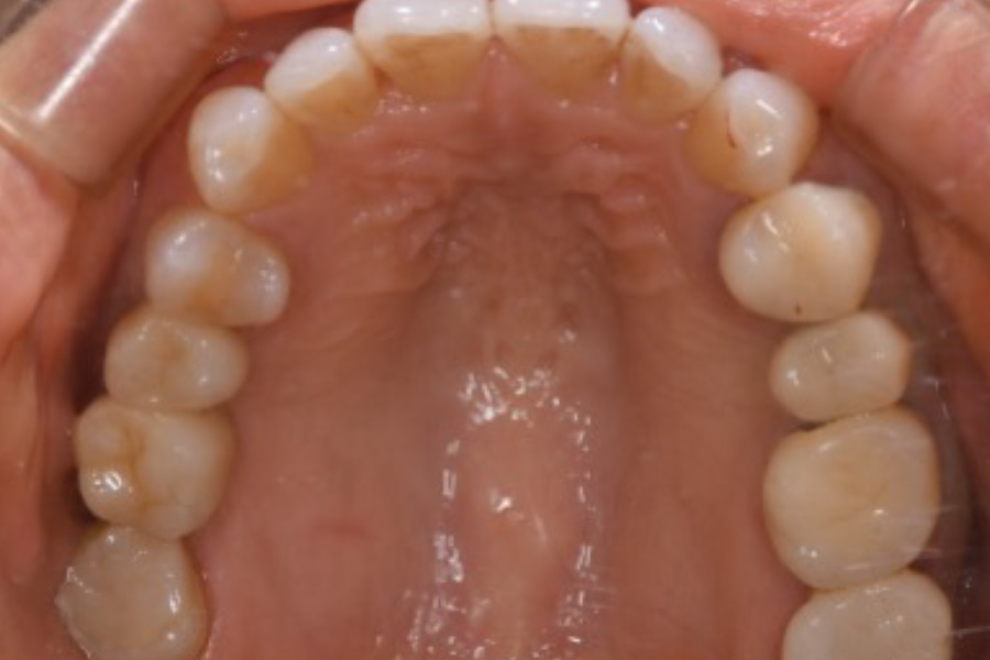
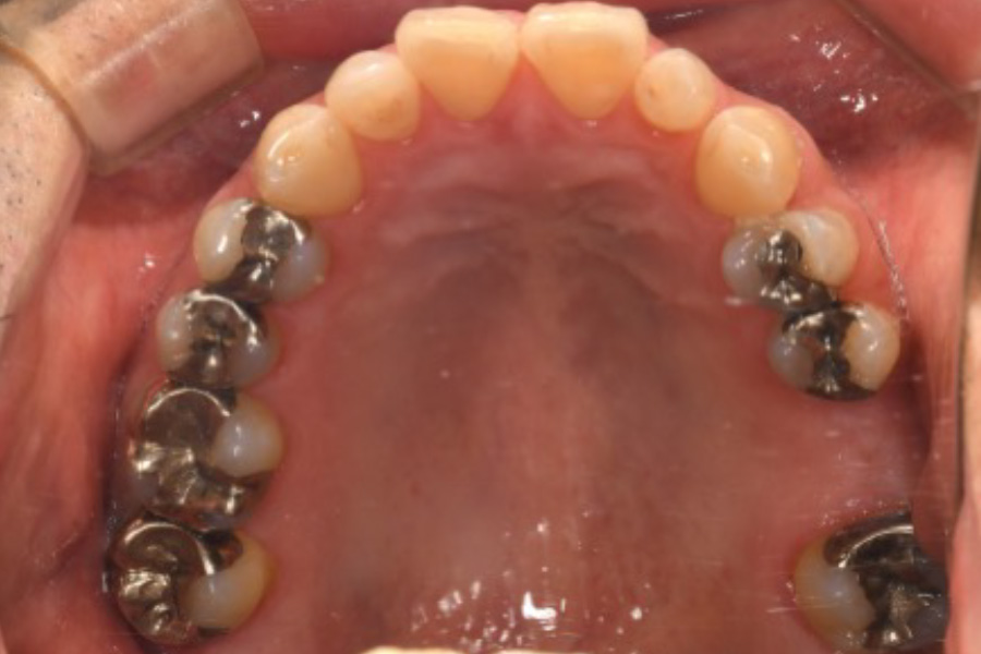
歯根破折

左上奥歯に違和感がある
【インプラント・再生医療PRGF】

担当医
-
主訴
左上奥歯に違和感がある
期間
約5か月
費用
インプラント治療+再生医療PRGF
686,400円(税込)
治療内容
歯根破折によって失った左上臼歯部に代わって顎の骨にインプラントを埋入し、機能面や審美面の回復を行いました。
治療に伴うリスク
出血、腫脹、疼痛、内出血、神経麻痺、補綴物の脱離、破折、インプラント体の破折、咬合の違和感、インプラント周囲炎

2025-09-12

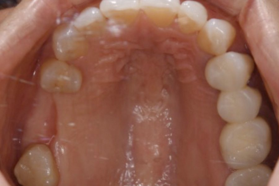
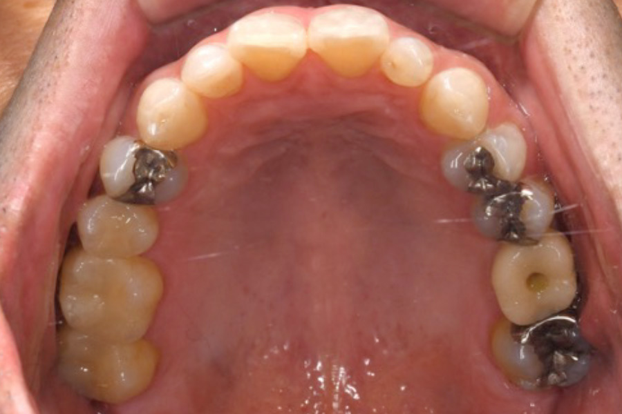
歯が染みる
【インプラント治療】

担当医
-
主訴
歯が染みる
期間
約6か月
費用
インプラント治療(2本)
1,100,000円(税込)
治療内容
右上臼歯部の歯根破折によって失った臼歯部に代わって、顎の骨にインプラントを埋入し、 機能面や審美面の回復を行いました。
治療に伴うリスク
出血、腫脹、疼痛、内出血、神経麻痺、補綴物の脱離、破折、インプラント体の破折、咬合の違和感、インプラント周囲炎
  • 院内紹介
  • 院内紹介
  • 院内紹介
  • 院内紹介
  • 院内紹介
  • 院内紹介
  • 院内紹介
  • 院内紹介
  • 院内紹介
  • 院内紹介
  • 院内紹介
  • 院内紹介
  • 院内紹介
  • 院内紹介
  • 院内紹介
  • 院内紹介
  • 院内紹介
  • 院内紹介