WEB予約はコチラから
お問い合わせはコチラから
当院の口コミはコチラから
  1. ホーム
  2. 症例
  3. セラミック治療

セラミック治療

2026-02-17

ホワイトニングを行いたい
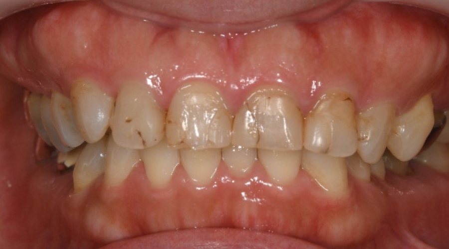
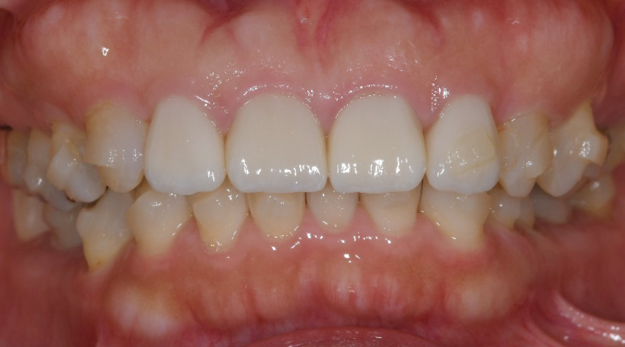
【セラミック治療】

担当医
主訴
ホワイトニングを行いたい
期間
3週間
費用
仮歯2本とセラミック2本
312,730円(税込)
治療内容
審美性を回復させるために上の前歯2本の歯を一層削合し型取りを行った。
一度仮歯を装着し歯肉の形を整え最終確認し、型どりから約2週間後完成したセラミックの被せ物を装着した。
治療に伴うリスク
治療によっては歯の体積を削る量が多い場合があります。
治療後、軽い出血や痛みを伴う可能性があります。
稀にセラミックが欠ける場合があります。

2025-12-09

前歯の形が気になるので
綺麗にしたい
【セラミック治療】

担当医
主訴
前歯の形が気になるので綺麗にしたい
期間
3か月
費用
718,740円(税込)
治療内容
審美性を回復させるために上の前歯5本の歯を一層削合し型取りを行った。
一度形を最終確認し、型どりから約2週間後完成したセラミックの被せ物とブリッジを装着した。
治療に伴うリスク
治療によっては歯の体積を削る量が多い場合があります。
治療後、軽い出血や痛みを伴う可能性があります。
稀にセラミックが欠ける場合があります。

歯が痛い、前歯を綺麗にしたい
【セラミック治療・
ダイレクトボンディング・
オフィスホワイトニング】

担当医
-
主訴
歯が痛い、前歯を綺麗にしたい
期間
約8か月
費用
1,426,790円(税込)
治療内容
オフィスホワイトニング、ダイレクトボンディング、セラミック治療
(現在マウスピース矯正中)

前歯が4本クラウンが入るように削り、型取りを行った。
クラウン完成後、装着し調整を行った。
治療に伴うリスク
・治療後、軽い出血や痛みを伴う可能性があります
・稀にセラミックが欠ける場合があります

2025-09-17

左下奥歯が治療途中
【虫歯治療・セラミック治療・
メタルフリー治療】

  • 院内紹介
  • 院内紹介
  • 院内紹介
  • 院内紹介
  • 院内紹介
  • 院内紹介
  • 院内紹介
  • 院内紹介
  • 院内紹介
  • 院内紹介
  • 院内紹介
  • 院内紹介
  • 院内紹介
  • 院内紹介
  • 院内紹介
  • 院内紹介
  • 院内紹介
  • 院内紹介