WEB予約はコチラから
お問い合わせはコチラから
当院の口コミはコチラから
  1. ホーム
  2. 症例
  3. エアフロー

エアフロー

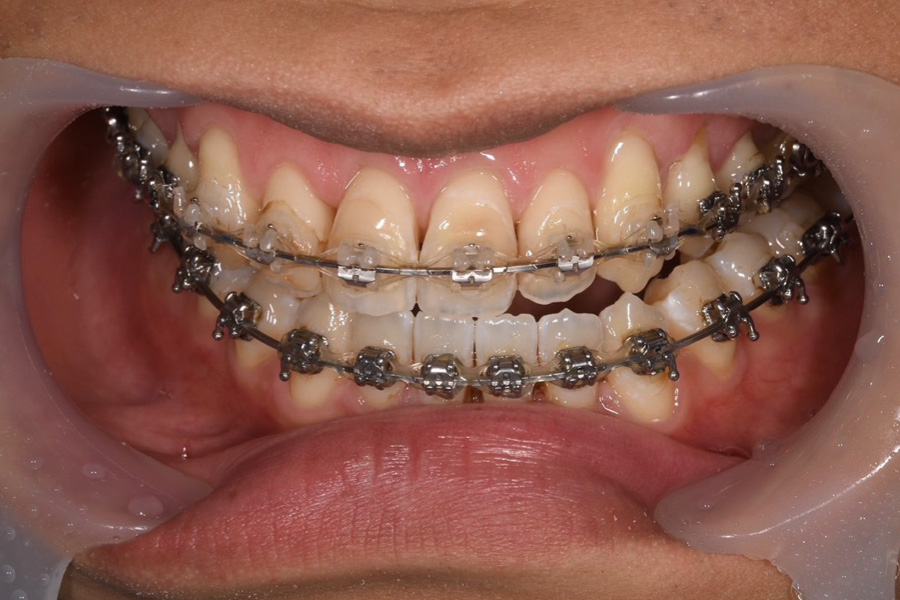
左上の歯がしみる
【エアフロー】

担当医
-
主訴
左上がしみる
期間
1日
費用
6,600円(税込)
治療内容
エアフロー
微細なパウダーと水、空気を混合したものをジェット水流で歯に吹き付け、着色汚れ(ステイン)、プラーク、バイオフィルムなどを効率的に除去します。
治療に伴うリスク
過剰な圧力による歯茎の炎症や出血、歯の表面が削れる可能性、パウダーへのアレルギー反応、そして呼吸器疾患や特定の疾患がある場合の適用制限
  • 院内紹介
  • 院内紹介
  • 院内紹介
  • 院内紹介
  • 院内紹介
  • 院内紹介
  • 院内紹介
  • 院内紹介
  • 院内紹介
  • 院内紹介
  • 院内紹介
  • 院内紹介
  • 院内紹介
  • 院内紹介
  • 院内紹介
  • 院内紹介
  • 院内紹介
  • 院内紹介