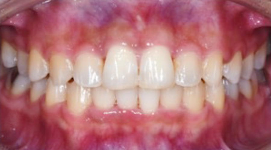
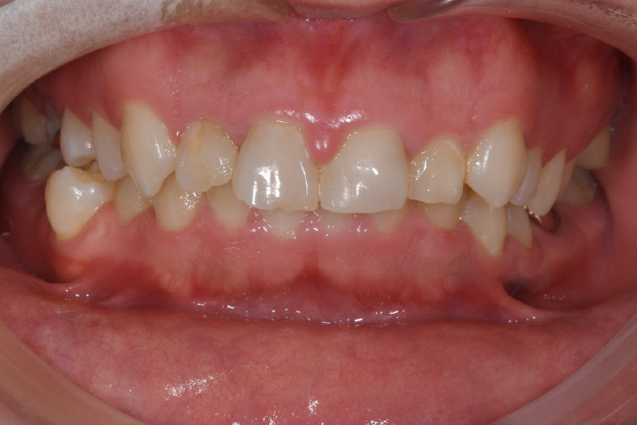
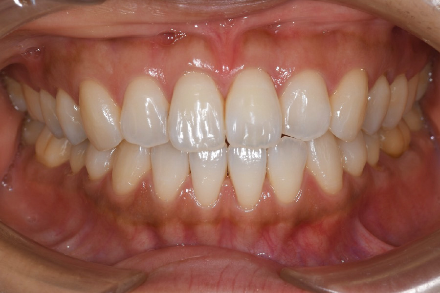
ホームホワイトニング
前歯のガタツキが気になる
【ホームホワイトニング】
- 担当医
- 主訴
- 前歯のガタツキが気になる
- 期間
- 1年
- 費用
- マウスピース矯正とホワイトニングセット
1,128,296円(税込)
- 治療内容
- 目立ちにくいマウスピース矯正(非抜歯矯正)
歯と歯の間に隙間をつくることにより、歯列弓を広げながら治療を行いました。
また矯正用マウスピースをトレー代わりにし、ジェルを入れてホームホワイトニングを同時に行っております。
- 治療に伴うリスク
- ・後戻りする可能性があるので、最低でもリテーナーを矯正期間以上は装着いただきます。
・ホワイトニング後、一時的に痛みが出る場合があります。
・稀にほっぺた、唇、舌などに口内炎や傷ができることがあります。
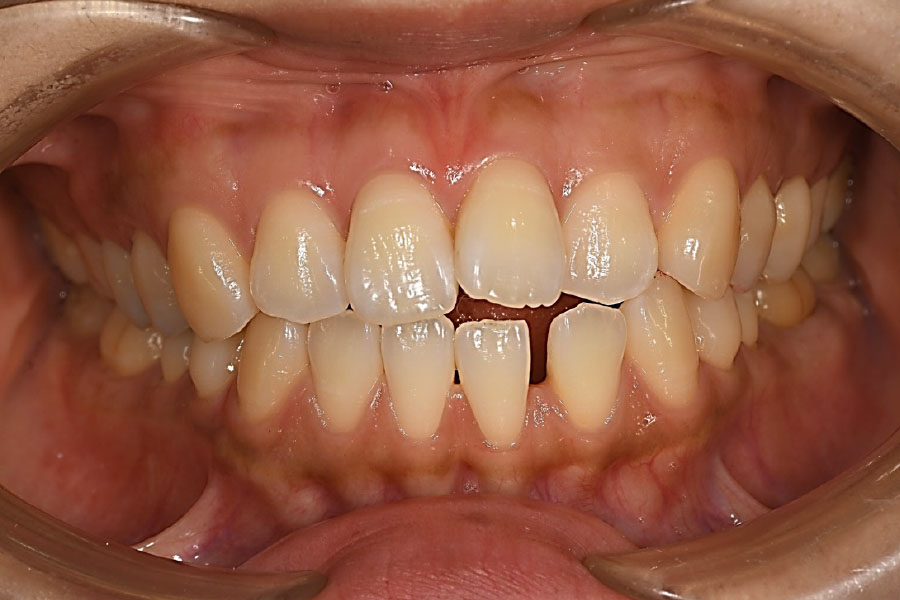
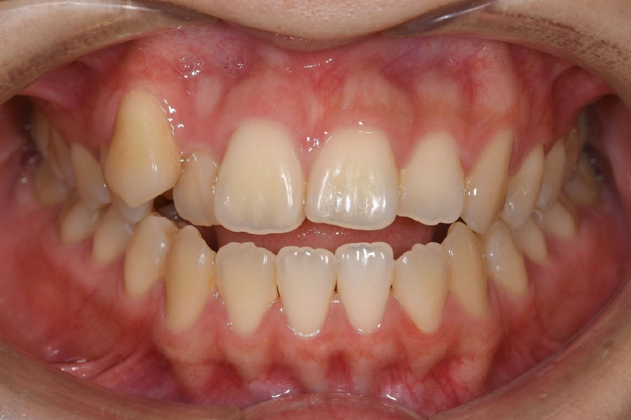
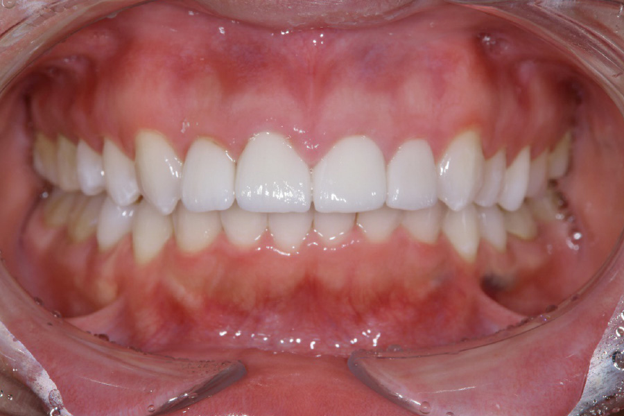
上の前歯の隙間と
下の前歯のガタツキ、
かみ合わせが悪い
【ホームホワイトニング】
- 担当医
- 主訴
- 上の前歯の隙間と下の前歯のガタツキ、かみ合わせが悪い
- 期間
- 1年3か月
- 費用
- マウスピース矯正とホワイトニングセット
1,018,296円(税込)
- 治療内容
- 目立ちにくいマウスピース矯正(非抜歯矯正)
歯と歯の間に隙間をつくることにより、歯列弓を広げながら治療を行いました。
また矯正用マウスピースをトレー代わりにし、ジェルを入れてホームホワイトニングを同時に行っております。
- 治療に伴うリスク
- ・後戻りする可能性があるので、最低でもリテーナーを矯正期間以上は装着いただきます。
・ホワイトニング後、一時的に痛みが出る場合があります。
・稀にほっぺた、唇、舌などに口内炎や傷ができることがあります。
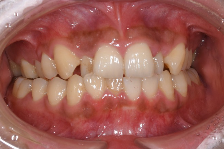
上の前歯の隙間と
下の前歯のガタツキ、
かみ合わせが悪い
【ホームホワイトニング】
- 担当医
- 主訴
- 上の前歯の隙間と下の前歯のガタツキ、かみ合わせが悪い
- 期間
- 1年2か月
- 費用
- マウスピース矯正とホワイトニングセット
1,018,296円(税込)
- 治療内容
- 目立ちにくいマウスピース矯正(非抜歯矯正)
歯と歯の間に隙間をつくることにより、歯列弓を広げながら治療を行いました。
また矯正用マウスピースをトレー代わりにし、ジェルを入れてホームホワイトニングを同時に行っております。
- 治療に伴うリスク
- ・後戻りする可能性があるので、最低でもリテーナーを矯正期間以上は装着いただきます。
・ホワイトニング後、一時的に痛みが出る場合があります。
・稀にほっぺた、唇、舌などに口内炎や傷ができることがあります。
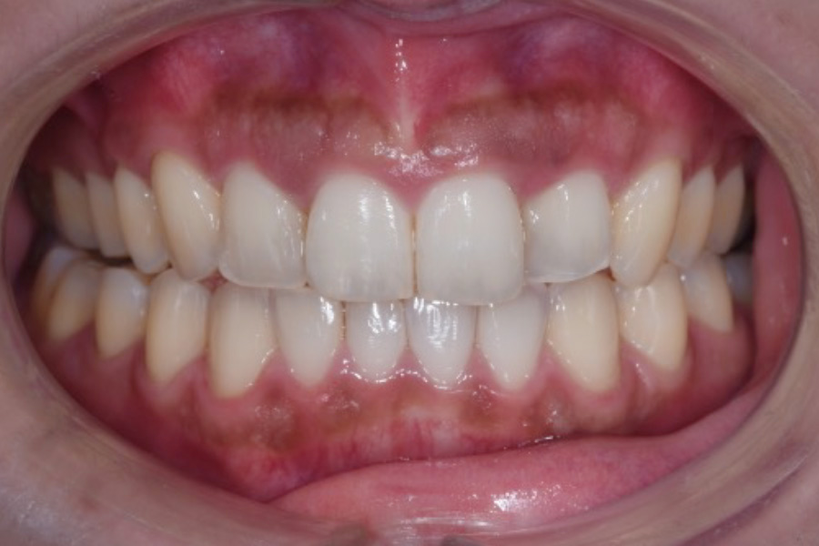
定期検診希望
【ホームホワイトニング】
- 担当医
- 主訴
- 定期検診希望
- 期間
- 3週間
- 費用
- ホームホワイトニング
38,500円(税込)
- 治療内容
- 自分専用のカスタムトレーを作り、3週間継続的にホームホワイトニングをおこないました。
- 治療に伴うリスク
- ・長時間おこなうと一時的にしみる可能性があります。
・色が後戻りしていないかメンテナンスが必要です。
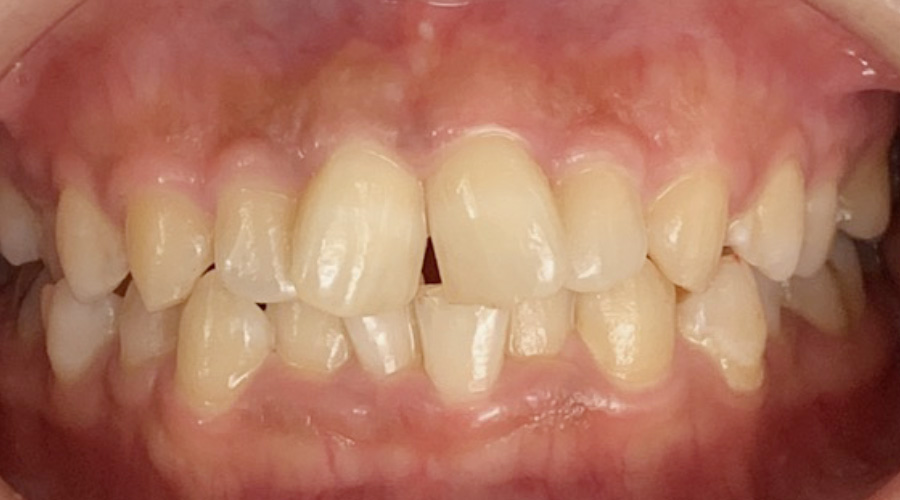
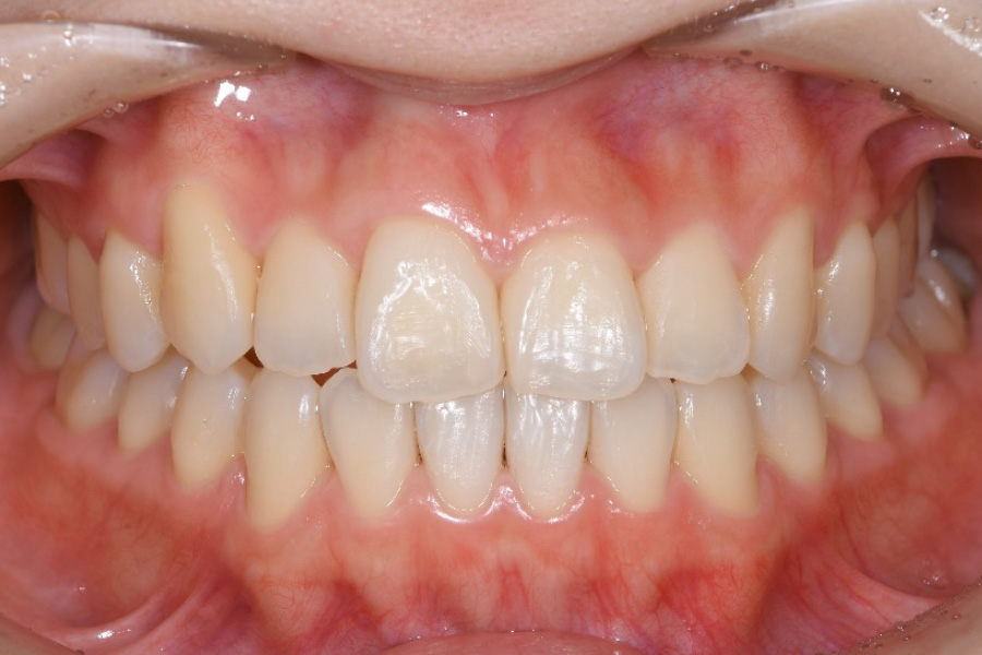
前歯のガタツキが気になる
【マウスピース矯正】
- 担当医
- 主訴
- 前歯のガタツキが気になる
- 期間
- 1年
- 費用
- マウスピース矯正とホワイトニングセット
1,128,296円(税込)
- 治療内容
- 目立ちにくいマウスピース矯正(非抜歯矯正)
歯と歯の間に隙間をつくることにより、歯列弓を広げながら治療を行いました。
また矯正用マウスピースをトレー代わりにし、ジェルを入れてホームホワイトニングを同時に行っております。
- 治療に伴うリスク
- ・後戻りする可能性があるのでリテーナーを最低でも矯正期間以上はつけること。
・ホワイトニング後、一時的に痛みが出る場合があります。
・稀にほっぺた、唇、舌などに口内炎や傷ができることがあります。
上下前歯のガタツキと
ねじれが気になる
【マウスピース矯正】
- 担当医
- 主訴
- 上下前歯のガタツキとねじれが気になる
- 期間
- 1年1か月
- 費用
- マウスピース矯正とホワイトニングセット
956,596円(税込)
- 治療内容
- 目立ちにくいマウスピース矯正(非抜歯矯正)
歯と歯の間に隙間をつくることにより、歯列弓を広げながら治療を行いました。
また矯正用マウスピースをトレー代わりにし、ジェルを入れてホームホワイトニングを同時に行っております。
- 治療に伴うリスク
- ・後戻りする可能性があるのでリテーナーを最低でも矯正期間以上はつけること。
・ホワイトニング後、一時的に痛みが出る場合があります。
・稀にほっぺた、唇、舌などに口内炎や傷ができることがあります。
上の前歯の隙間と
下の前歯のガタツキ、
かみ合わせが悪い
【マウスピース矯正】
- 担当医
- 主訴
- 上の前歯の隙間と下の前歯のガタツキ、かみ合わせが悪い
- 期間
- 1年2か月
- 費用
- マウスピース矯正とホワイトニングセット
1,018,296円(税込)
- 治療内容
- 目立ちにくいマウスピース矯正(非抜歯矯正)
歯と歯の間に隙間をつくることにより、歯列弓を広げながら治療を行いました。
また矯正用マウスピースをトレー代わりにし、ジェルを入れてホームホワイトニングを同時に行っております。
- 治療に伴うリスク
- ・後戻りする可能性があるのでリテーナーを最低でも矯正期間以上はつけること。
・ホワイトニング後、一時的に痛みが出る場合があります。
・稀にほっぺた、唇、舌などに口内炎や傷ができることがあります。
上下前歯のガタツキ、
かみ合わせが悪い
【マウスピース矯正】
- 担当医
- 主訴
- 上下前歯のガタツキ、かみ合わせが悪い
- 期間
- 2年3か月
- 費用
- マウスピース矯正とホワイトニングセット
1,018,296円(税込)
- 治療内容
- 目立ちにくいマウスピース矯正(非抜歯矯正)
歯と歯の間に隙間をつくることにより、歯列弓を広げながら治療を行いました。
また矯正用マウスピースをトレー代わりにし、ジェルを入れてホームホワイトニングを同時に行っております。
- 治療に伴うリスク
- ・後戻りする可能性があるのでリテーナーを最低でも矯正期間以上はつけること。
・ホワイトニング後、一時的に痛みが出る場合があります。
・稀にほっぺた、唇、舌などに口内炎や傷ができることがあります。
上下前歯のガタツキと
口ボゴ、突出が気になる
【マウスピース矯正】
- 担当医
- 主訴
- 上下前歯のガタツキと口ボゴ、突出が気になる
- 期間
- 2年2か月
- 費用
- マウスピース矯正とホワイトニングセット
1,018,296円(税込)
- 治療内容
- 目立ちにくいマウスピース矯正(非抜歯矯正)
歯と歯の間に隙間をつくることにより、歯列弓を広げながら治療を行いました。
また矯正用マウスピースをトレー代わりにし、ジェルを入れてホームホワイトニングを同時に行っております。
- 治療に伴うリスク
- ・後戻りする可能性があるのでリテーナーを最低でも矯正期間以上はつけること。
・ホワイトニング後、一時的に痛みが出る場合があります。
・稀にほっぺた、唇、舌などに口内炎や傷ができることがあります。
上下前歯のガタツキが
気になる
【マウスピース矯正】
- 担当医
- 主訴
- 上下前歯のガタツキが気になる
- 期間
- 1年4か月
- 費用
- マウスピース矯正とホワイトニングセット
1,018,296円(税込)
- 治療内容
- 目立ちにくいマウスピース矯正(非抜歯矯正)
歯と歯の間に隙間をつくることにより、歯列弓を広げながら治療を行いました。
また矯正用マウスピースをトレー代わりにし、ジェルを入れてホームホワイトニングを同時に行っております。
- 治療に伴うリスク
- ・後戻りする可能性があるのでリテーナーを最低でも矯正期間以上はつけること。
・ホワイトニング後、一時的に痛みが出る場合があります。
・稀にほっぺた、唇、舌などに口内炎や傷ができることがあります。
































