WEB予約はコチラから
お問い合わせはコチラから
当院の口コミはコチラから
  1. ホーム
  2. 症例
  3. インプラント治療

インプラント治療

2026-02-12

セカンドオピニオン
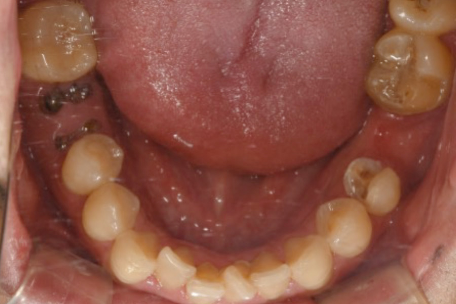
【インプラント】

担当医
主訴
セカンドオピニオン
期間
4か月
費用
インプラント治療+再生医療PRGFのみ
638,255円(税込)
治療内容
右下臼歯部の歯根破折によって失った臼歯部に代わって、顎の骨にインプラントを埋入し、機能面や審美面の回復を行いました。
治療に伴うリスク
出血、腫脹、疼痛、内出血、神経麻痺、補綴物の脱離、破折、インプラント体の破折、咬合の違和感、インプラント周囲炎

2026-02-12

食事をしていると
前歯が動き出した
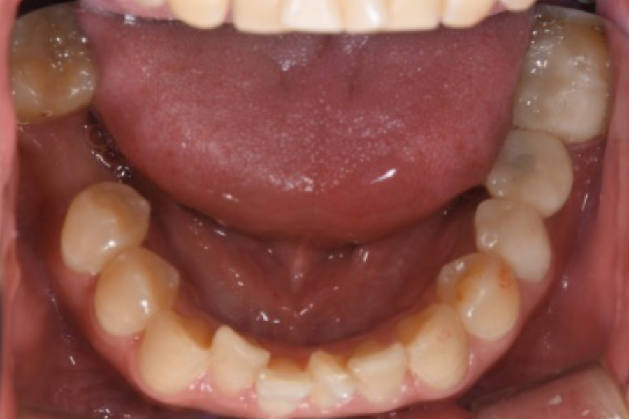
【インプラント】

担当医
主訴
食事をしていると前歯が動き出した
期間
3か月
費用
インプラント治療+再生医療PRGFのみ
468,710円(税込)
治療内容
右上前歯の歯根破折しており、抜歯とともに即日で顎の骨にインプラントを埋入し、 機能面や審美面の回復を行いました。
治療に伴うリスク
出血、腫脹、疼痛、内出血、神経麻痺、補綴物の脱離、破折、インプラント体の破折、咬合の違和感、インプラント周囲炎

噛めない・
見た目の改善希望
【オールオン4】

担当医
主訴
噛めない・見た目の改善希望
(上顎は重度歯周病で保存不可)
期間
即日:抜歯+インプラント4本+仮歯装着
治癒期間:3〜4か月
最終補綴:4〜6か月
費用
片顎 オールオン4
3,630,000円(税込)
※上・下とも同額
※上下両顎の場合は合計 7,260,000円(税込)
治療内容
上顎の抜歯(下顎の抜歯なし)
インプラント4本埋入
ガイド使用
即日プロビジョナル
治癒後フルジルコニアブリッジ
治療に伴うリスク
・インプラントが結合しない可能性
・咬合調整が必要な場合
・インプラント周囲炎のリスク

歯が痛い
【インプラント・再生医療PRGF】

担当医
-
主訴
歯が痛い
期間
約4か月
費用
インプラント治療+再生医療PRGF
686,400円(税込)
治療内容
う蝕によって失った左下臼歯部に代わって顎の骨にインプラントを埋入し、機能面や審美面の回復を行いました。
治療に伴うリスク
出血、腫脹、疼痛、内出血、神経麻痺、補綴物の脱離、破折、インプラント体の破折、咬合の違和感、インプラント周囲炎

左上奥歯に違和感がある
【インプラント・再生医療PRGF】

担当医
-
主訴
左上奥歯に違和感がある
期間
約5か月
費用
インプラント治療+再生医療PRGF
686,400円(税込)
治療内容
歯根破折によって失った左上臼歯部に代わって顎の骨にインプラントを埋入し、機能面や審美面の回復を行いました。
治療に伴うリスク
出血、腫脹、疼痛、内出血、神経麻痺、補綴物の脱離、破折、インプラント体の破折、咬合の違和感、インプラント周囲炎

2025-09-12

歯が染みる
【インプラント治療】

担当医
-
主訴
歯が染みる
期間
約6か月
費用
インプラント治療(2本)
1,100,000円(税込)
治療内容
右上臼歯部の歯根破折によって失った臼歯部に代わって、顎の骨にインプラントを埋入し、 機能面や審美面の回復を行いました。
治療に伴うリスク
出血、腫脹、疼痛、内出血、神経麻痺、補綴物の脱離、破折、インプラント体の破折、咬合の違和感、インプラント周囲炎
  • 院内紹介
  • 院内紹介
  • 院内紹介
  • 院内紹介
  • 院内紹介
  • 院内紹介
  • 院内紹介
  • 院内紹介
  • 院内紹介
  • 院内紹介
  • 院内紹介
  • 院内紹介
  • 院内紹介
  • 院内紹介
  • 院内紹介
  • 院内紹介
  • 院内紹介
  • 院内紹介