
矯正歯科
(インビザライン)

目次(クリックで各項目へ移動できます)
当院がインビザラインを
推奨している理由
ワイヤー矯正 (従来) |
マウスピース矯正 (インビザライン) |
|
---|---|---|
見た目 | ×:表側に金具がつく | ○:透明で目立ちにくい |
期間 | ×:数ヶ月~3年間程度(1回の治療時間が長い) | ◎:数ヶ月〜2年間程度(友枝歯科では) |
感覚・ 痛み |
×:1ヶ月分の力を一気に加えるため痛い 金具が唇にあたり、口内炎などができやすい |
○:マウスピースのため違和感が少ない ご自身で7日〜10日ごとでマウスピースを交換 ワイヤー矯正より痛みが少ない |
食事・ 日常 生活 |
×:食べ物が詰まりやすくなる 歯磨きが難しくなる =虫歯・歯周病のリスクが高くなる |
◎:着脱可能なため、 今まで通りの食事・歯磨きが可能 |
歯を並べるだけで治療は完了しません。
矯正中も終了後も虫歯・歯周病にならないようにする必要があります。
患者様の負担のことも考え 、当院ではマウスピース矯正を推奨しております。
よく聞くお悩み
友枝式インビザライン矯正
① ホワイトニングと光加速装置:pbmヒーリング
患者様から黄ばみや痛みについてのお悩みをよく聞きます。
黄ばみに関してはマウスピース矯正とホームホワイトニングの併用で改善が可能です。
さらに「pbmヒーリング※」を使用することによって、矯正による歯の動きをスムーズにし、痛みの緩和・矯正期間を短縮させることができます。
※pbmヒーリングの役割…歯周組織に近赤外線光を照射し組織の細胞を活性化させ、骨の代謝を促します。
当院では、マウスピース矯正と二つを組み合わせ、
スピーディーに治療を行うことができます。

② 総合的で理想的な治療
近年歯科では専門化が進んでおり、矯正歯科は矯正だけを行う事が多くなってきています。
歯並びを治した後、総合的な治療やメインテナンスを行いたいと思っても新たな歯科医院を探すのは大変で結局足が遠のいてしまうということも・・・
当院では専門的に虫歯・歯周病の治療を行うドクターが在籍しておりますので、一つの歯科医院でお口の中の総合治療を行う事ができます。計画段階から虫歯・歯周病治療を組み合わせることによって、治療期間も短くなり専門科が求める理想的な形に仕上げることができます。

インビザライン矯正のメリット
① 目立ちにくく、違和感が少ない
② 着脱可能なため、
お食事・歯磨きは今まで通り可能
③ ご自身でマウスピースを交換
=通院回数を減らせる
治療の流れ
※横にスクロールしてご覧いただけます。
-
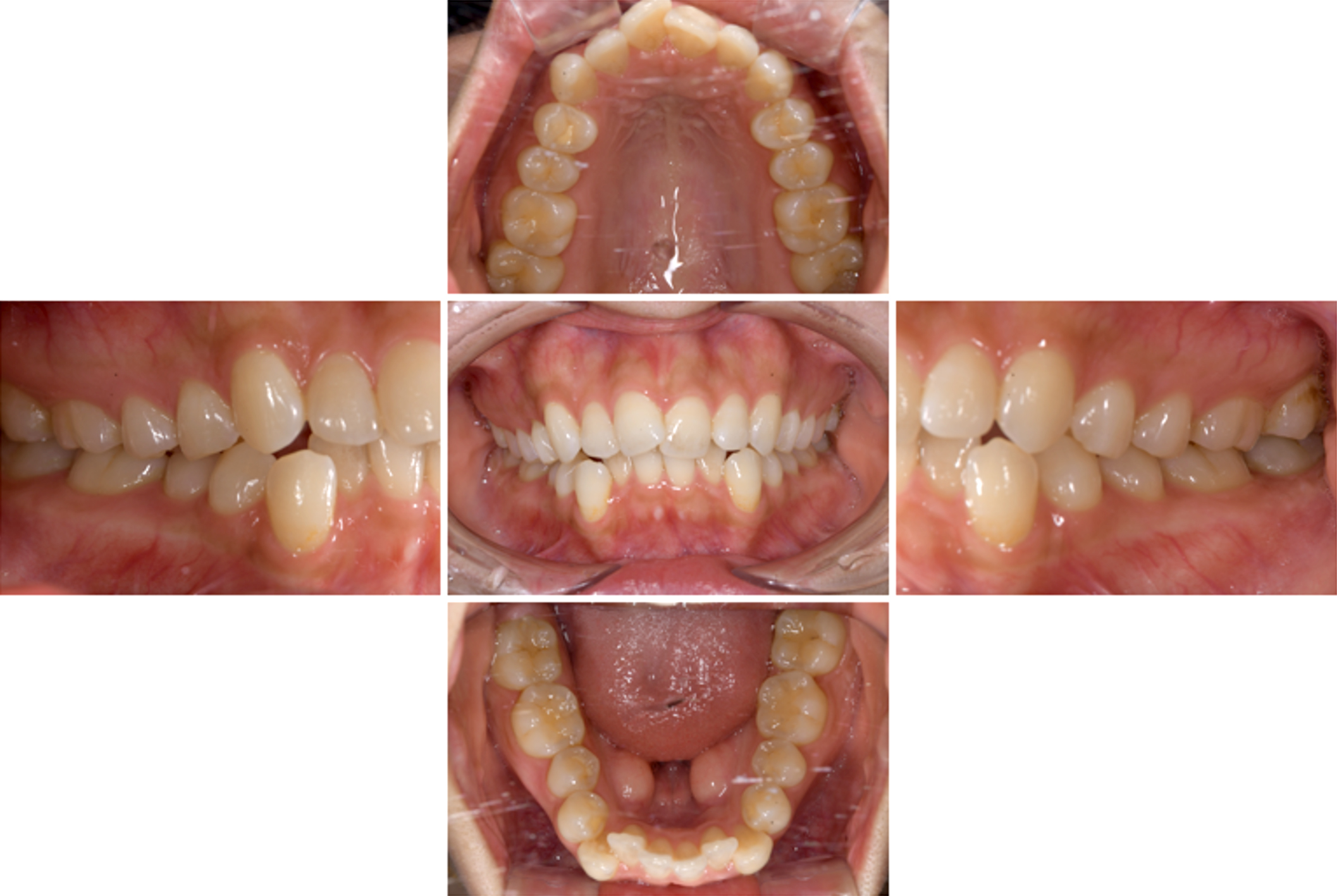
①カウンセリング・精密検査
写真・レントゲンおよび歯型をスキャンします。
■ 精密診断 ¥42,350
■ ご契約 + 入金 -
②アライナー装着
アライナー到着後、約1週間を目安に新しいアライナーに交換します。
-
③経過の確認
はじめの1ヶ月は1週間ごと、問題なければ1〜2ヶ月ごとで経過観察を行います。
-
④1〜2年後:保定(リテーナー)
矯正治療終了後、歯の位置を安定させるために使用します。
コース・価格表・お支払方法
プラン | 適応例 | 価格 | |
---|---|---|---|
プレミアム3 | 抜歯やインプラントを従うような難しいケース | ¥1,100,000 (税込¥1,210,000) |
|
スタンダード | 一般的な全体を動かすマウスピース矯正のケース | ¥900,000 (税込¥990,000) |
|
ライト | 部分的に動かせば事足りるケース(前歯のみなど) | ¥700,000 (税込¥770,000) |
|
ミニマム | 2,3本など軽度なケース | ¥398,000 (税込¥437,800) |
内容 | 価格 | |
---|---|---|
相談料 | 無料 | |
精密診断 | ¥38,500 (税込¥42,350) |
|
ホームホワイトニング ◎ | ¥25,000 (税込¥27,500) |
|
PBMヒーリング ◎ | ¥100,000 (税込¥110,000) |
|
ピュリオプラン(芸能人歯科) ◎ | ¥120,000 (税込¥132,000) |
|
保定装置 ◎ | ヒベラリテーナー 3点セット |
¥71,500 (税込¥78,650) |
ワイヤー型リテーナー | ¥55,000 (税込¥60,500) |
◎オプションとなります
※2025年6月現在。
内容、価格等は予告なく変更する場合がございます。
詳しくはクリニックまでお問い合わせください。
●お支払い方法
現金またはクレジットカード、デンタルローンがご利用いただけます。
現金 |
---|
15万円以上の現金支払いに関しては、 お振込をお願いしております。 電子マネー:一部対応可 |
クレジットカード |
一括・分割払い可能 |
デンタルローン |
クレジットカードよりも利子が低く、 分割も最大120回まで可能スマホで簡単に手続きが行えます。 ※ホワイトニングには、デンタルローンは適応されません。 |
自費診療は、保険診療同様に
医療費控除の対象になります。
●確定申告を行うことで、控除が受けられます。
●通院にかかる交通費も対象になります。
●ご家族で年間総額10万円以上医療費が発生した場合に対象になります。
※領収書は再発行できませんので、お気をつけください。
●医療費控除額のシュミレーション
世帯年収 | 医療費控除 発生最低額 |
1年間で支払った医療費の合計 | ||||
---|---|---|---|---|---|---|
20万 | 30万 | 50万 | 70万 | 100万 | ||
軽減される税額 | ||||||
300万円 | ¥96,000 | ¥15,000 | ¥30,000 | ¥60,000 | ¥90,000 | ¥106,500 |
500万円 | ¥100,000 | ¥20,000 | ¥40,000 | ¥80,000 | ¥120,000 | ¥180,000 |
700万円 | ¥100,000 | ¥30,000 | ¥60,000 | ¥120,000 | ¥180,000 | ¥270,000 |
1000万円 | ¥100,000 | ¥30,000 | ¥66,000 | ¥132,000 | ¥198,000 | ¥297,000 |
※横にスクロールしてご覧いただけます。
インビザラインの症例紹介
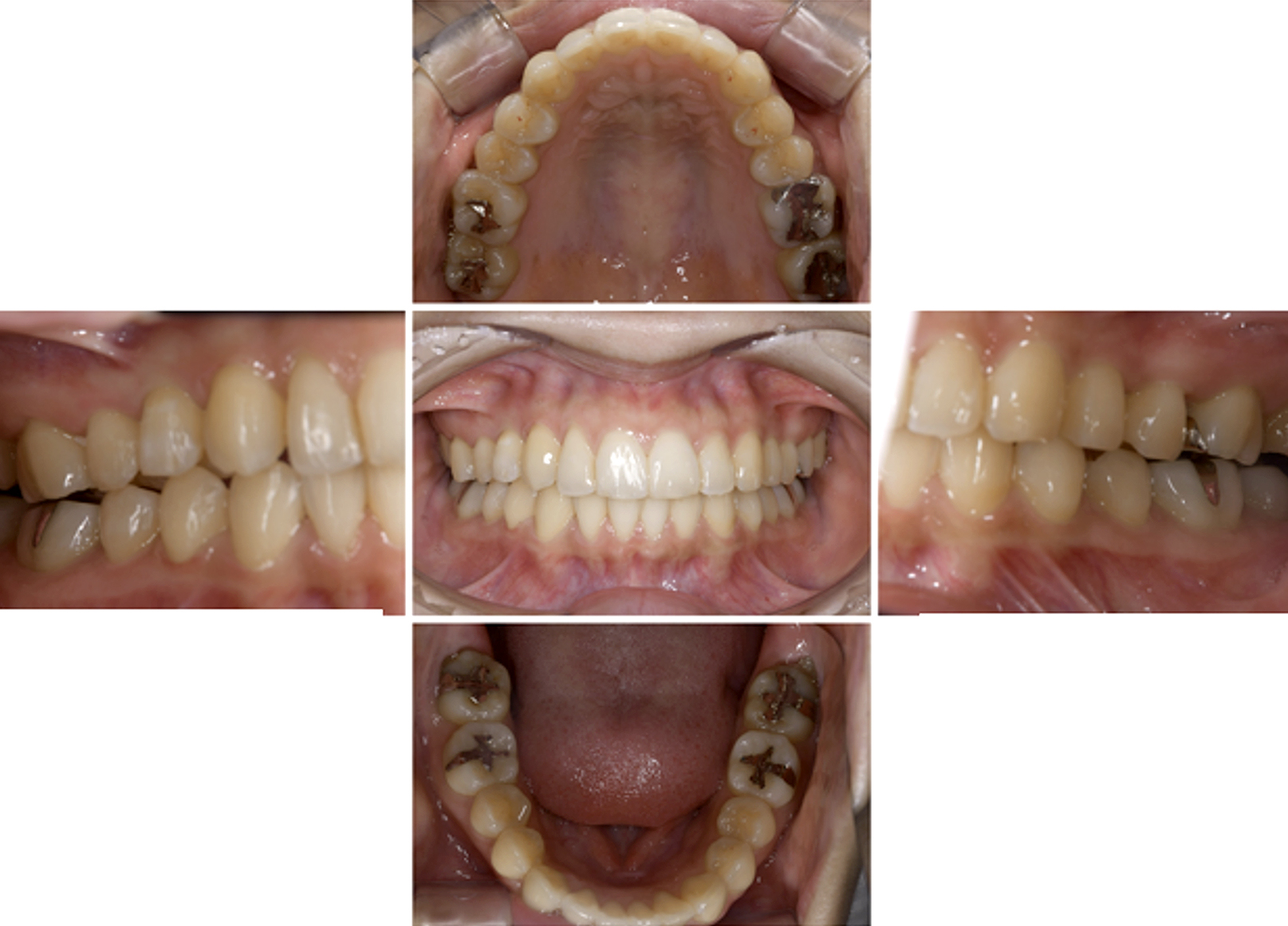
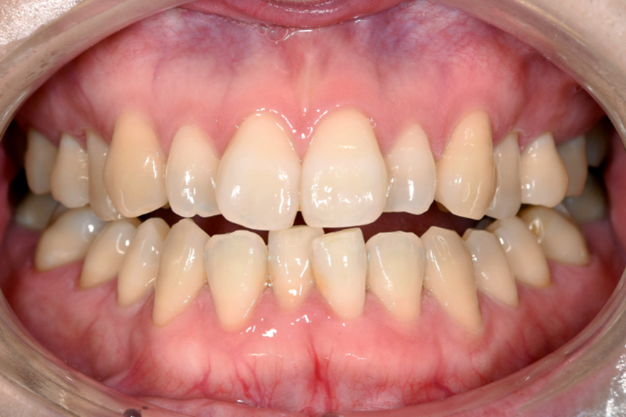
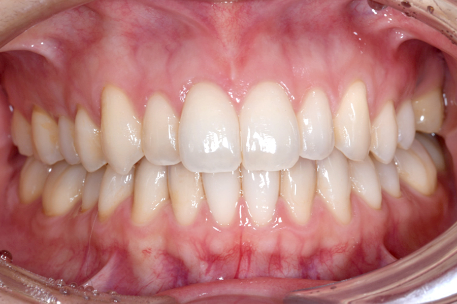
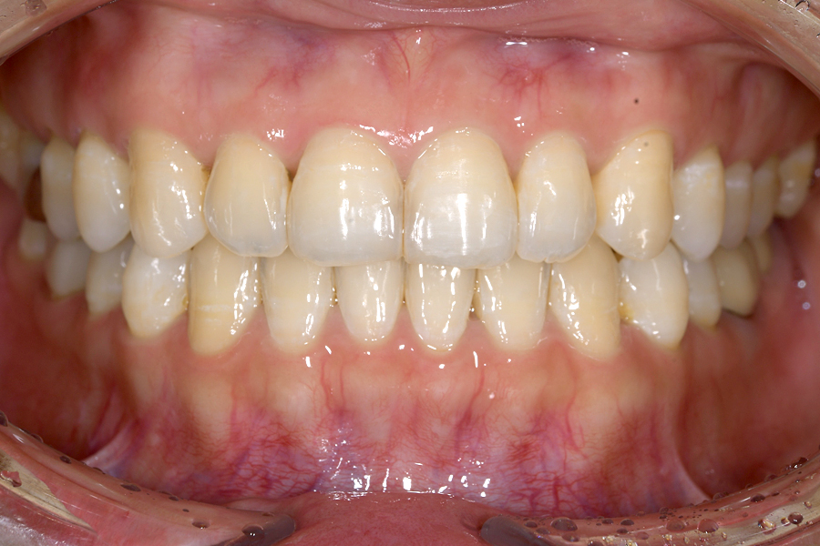
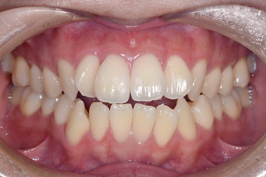
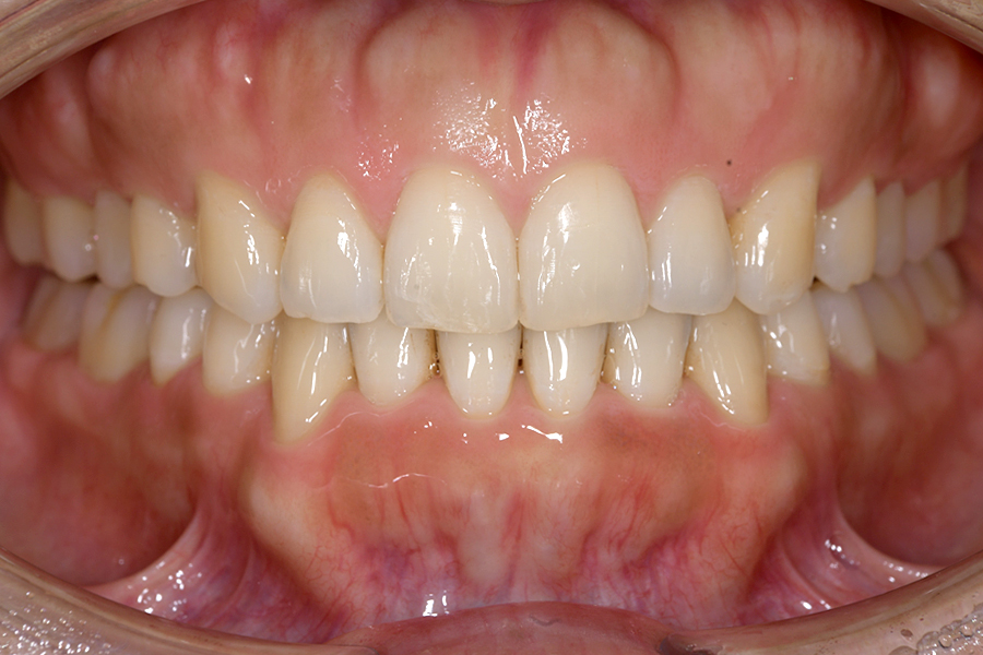
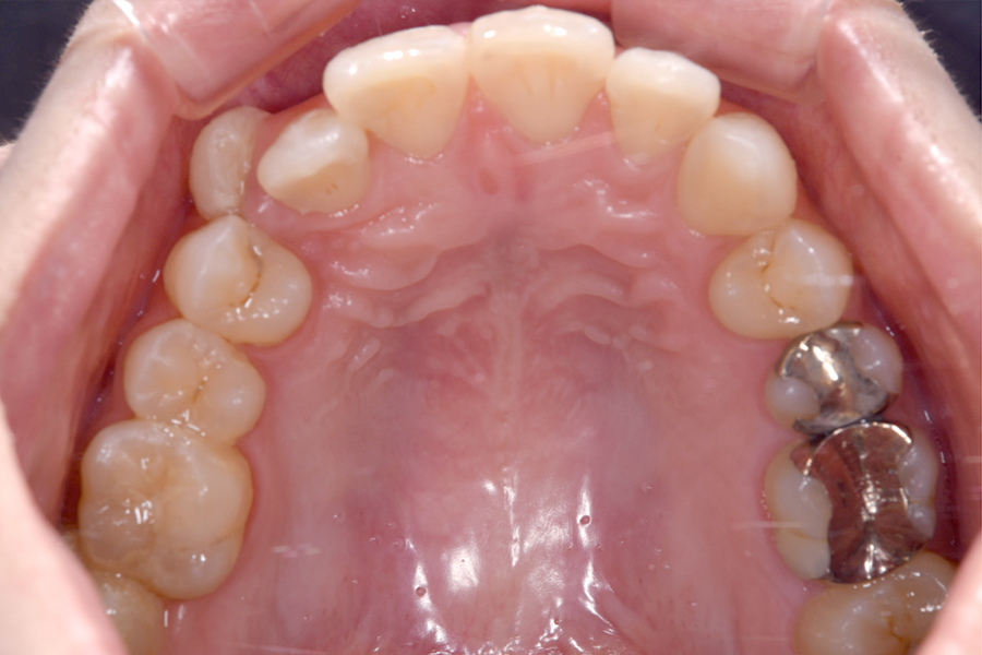
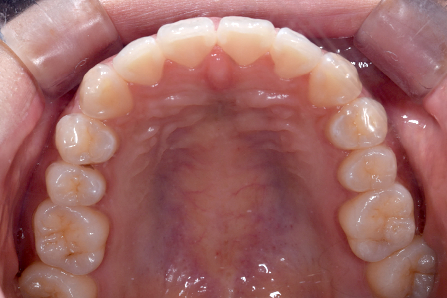
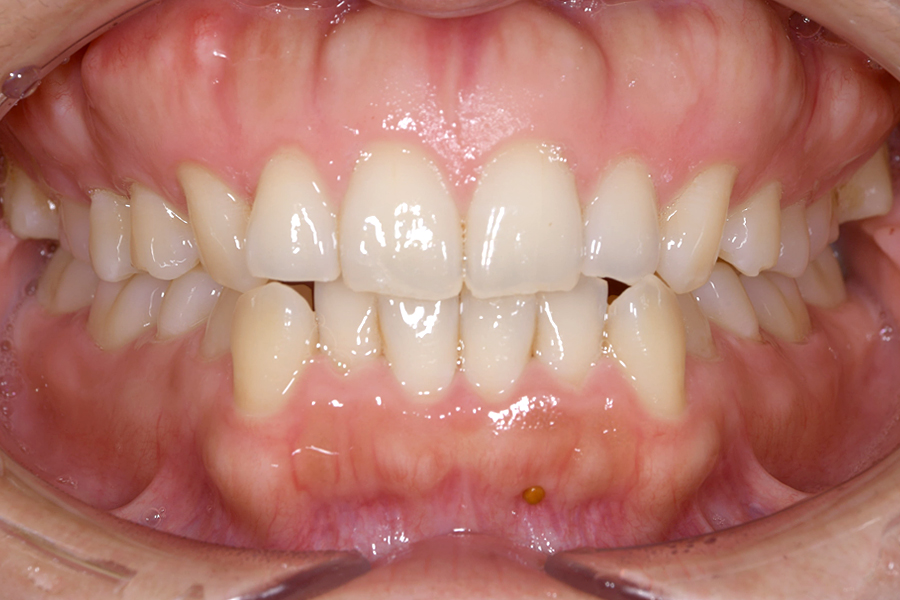
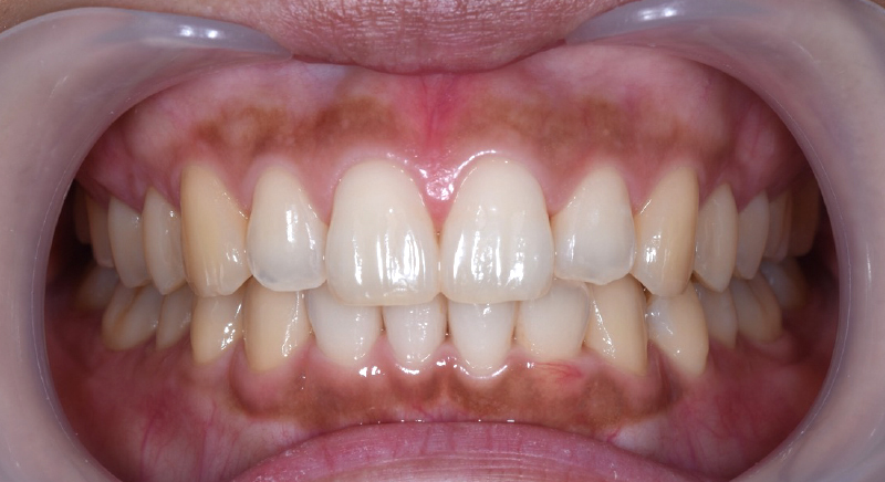
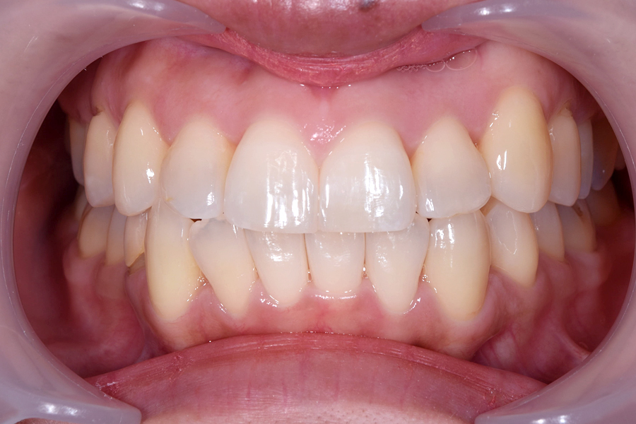
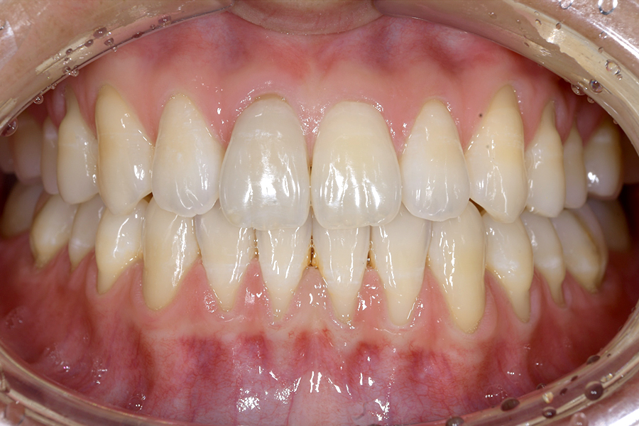
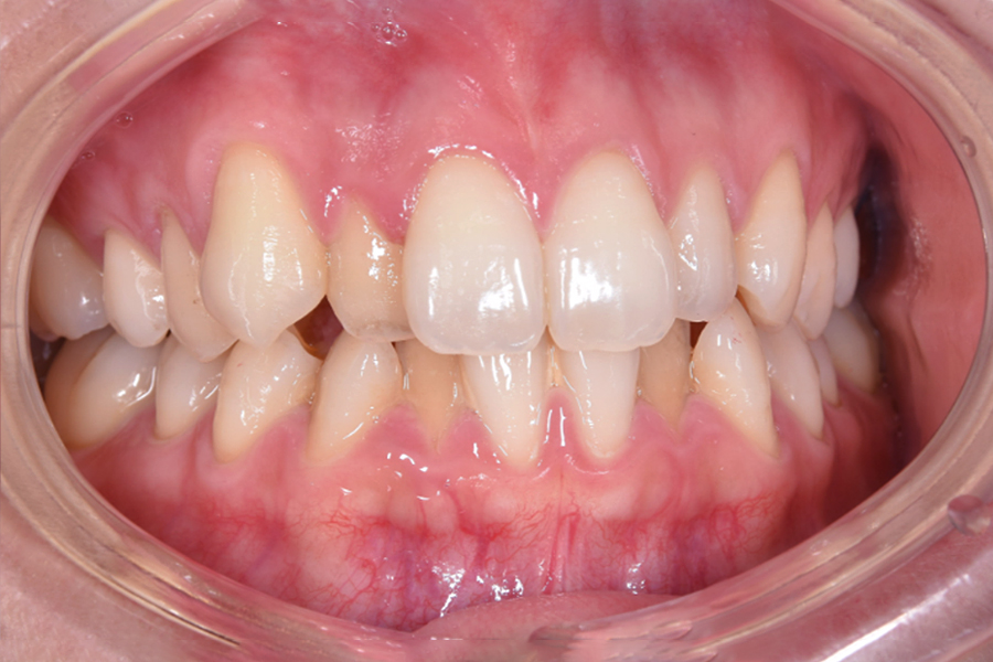
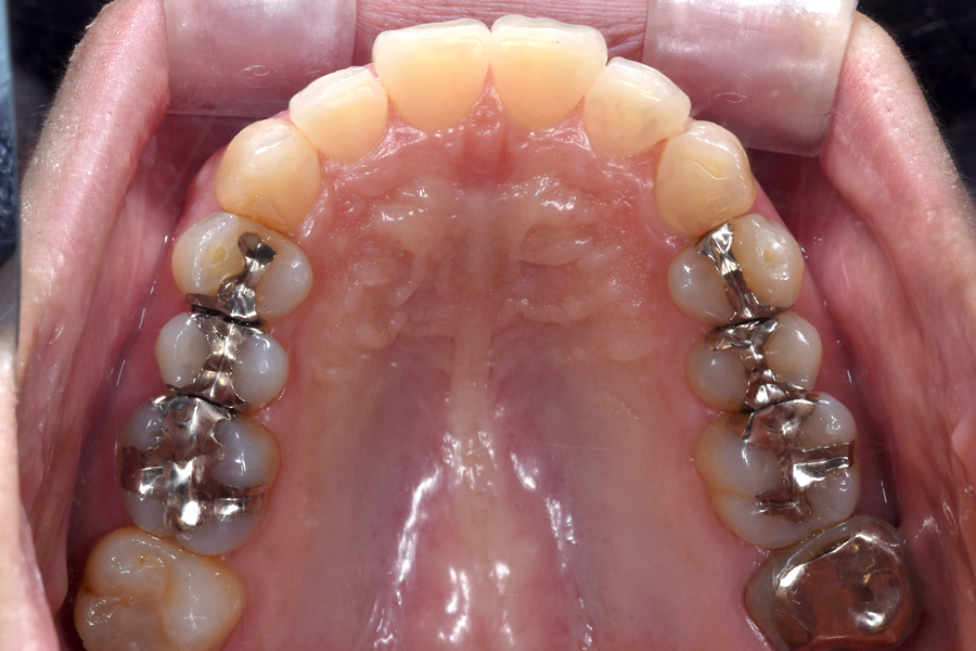
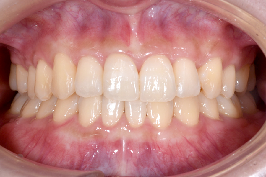
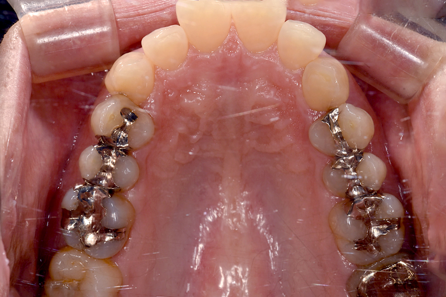
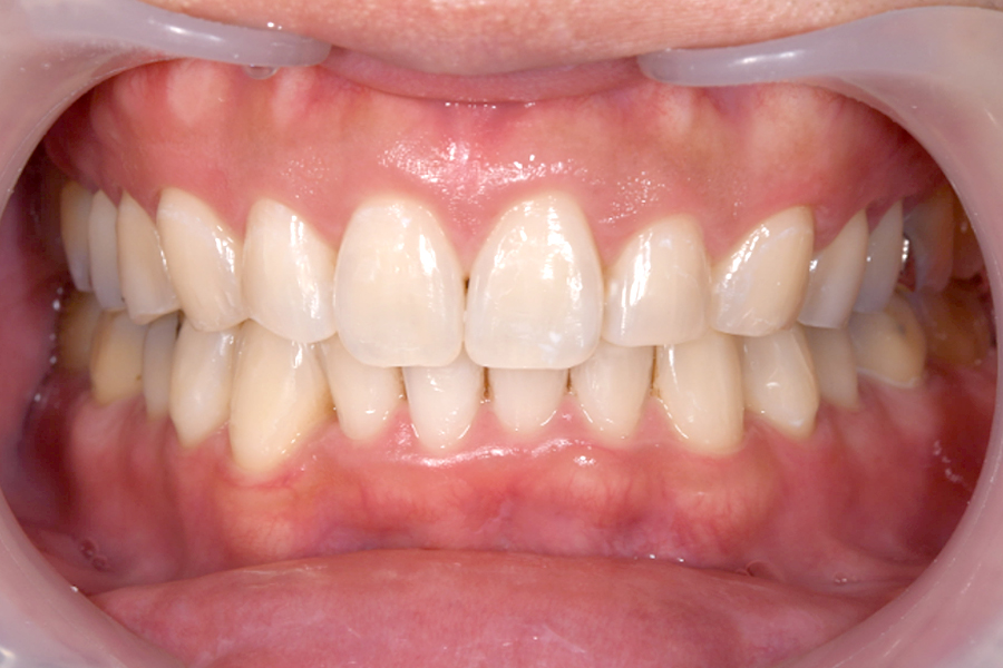
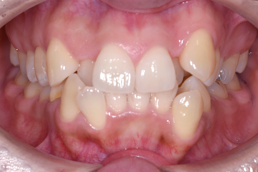
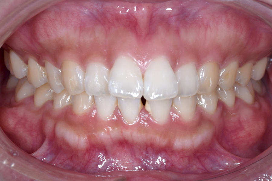
case1
術前

術後

主訴 | 見た目を治したい、歯を白くしたい |
治療期間 | 1年6か月 |
治療費 | マウスピース矯正と ホームホワイトニングセット ¥1,022,350(税込) |
治療内容 | 目立ちにくいマウスピース矯正(非抜歯矯正) 歯と歯の間に隙間をつくることにより、 歯列弓を広げながら治療を行いました。 また矯正用マウスピースをトレー代わりにし、 ジェルを入れてホームホワイトニングを 同時に行っております。 |
治療のリスク | ・後戻りする可能性があるので リテーナーを最低でも矯正期間以上はつけること ・ホワイトニング後、 一時的に痛みが出る場合があります ・ほっぺた、唇、舌などに口内炎や傷ができることがあります。 |
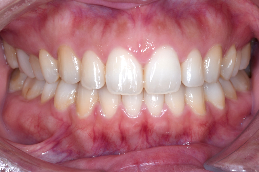
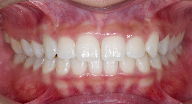
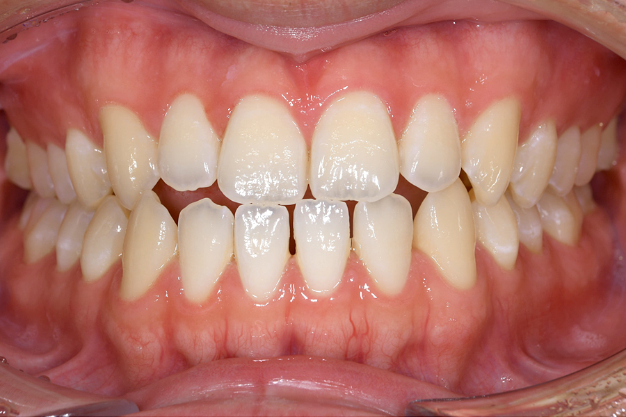
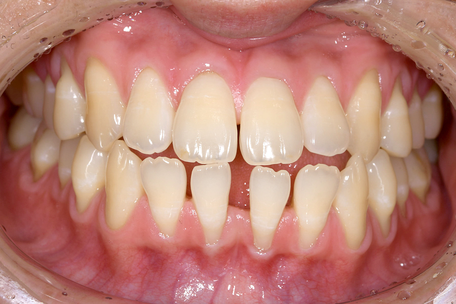
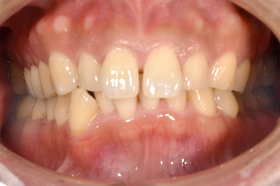
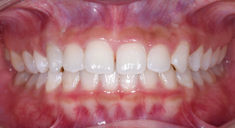
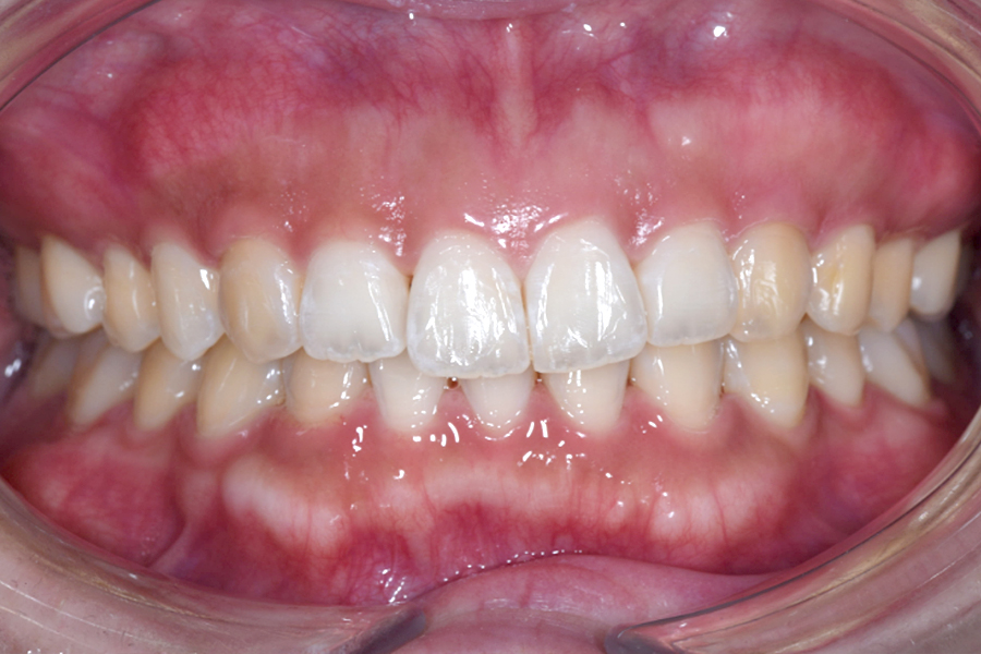
case2
術前

術後

主訴 | 歯並びを治したい |
治療期間 | 5か月 |
治療費 | 部分マウスピース矯正(モニターキャンペーン)と ホワイトニングセット ¥422,596(税込) |
治療内容 | 目立ちにくい部分的に動かす マウスピース矯正(非抜歯矯正) 歯と歯の間に隙間をつくることにより、 歯列弓を広げながら治療を行いました。 また矯正用マウスピースをトレー代わりにし、 ジェルを入れてホームホワイトニングを 同時に行っております。 |
治療のリスク | ・後戻りする可能性があるので リテーナーを最低でも矯正期間以上はつけること ・ホワイトニング後、 一時的に痛みが出る場合があります ・ほっぺた、唇、舌などに口内炎や傷ができることがあります。 |
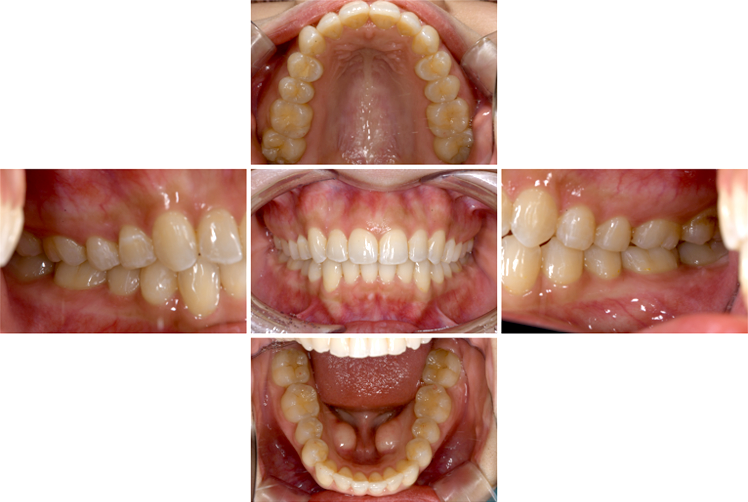
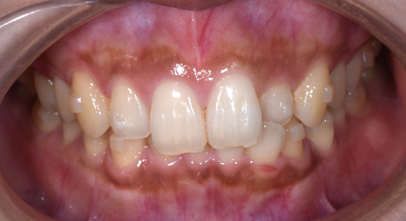
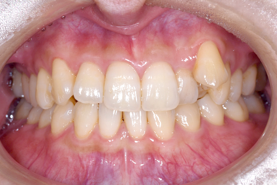
case3
術前

術後

術前

術後

主訴 | 歯並びを治したい |
治療期間 | 1年9か月 |
治療費 | ¥1,023,800(税込) |
治療内容 | 目立ちにくいマウスピース矯正(非抜歯矯正) 歯と歯の間に隙間をつくることにより、 歯列弓を広げながら治療を行いました。 |
治療のリスク | ・後戻りする可能性があるので リテーナーを最低でも矯正期間以上はつけること ・歯の移動中に、歯の神経が過敏になり冷たいものや熱いものがしみたりする場合があります。 |
case4
術前

術後

主訴 | 前歯で噛めない、 奥歯だけで食事するのが困っている |
治療期間 | 3年3か月 |
治療費 | ¥980,000(税込) |
治療内容 | 目立ちにくいマウスピース矯正(非抜歯矯正) 歯と歯の間に隙間をつくることにより、 歯列弓を広げながら治療を行いました。 |
治療のリスク | ・後戻りする可能性があるので リテーナーを最低でも矯正期間以上はつけること ・歯の移動中に、歯の神経が過敏になり冷たいものや熱いものがしみたりする場合があります。 |
case5
術前

術後

主訴 | 右上が気になる、 下顎の歯並びを治したい |
治療期間 | 3年 |
治療費 | ¥980,000(税込) |
治療内容 | 目立ちにくいマウスピース矯正(非抜歯矯正) 歯と歯の間に隙間をつくることにより、 歯列弓を広げながら治療を行いました。 |
治療のリスク | ・後戻りする可能性があるので リテーナーを最低でも矯正期間以上はつけること ・歯の移動中に、歯の神経が過敏になり冷たいものや熱いものがしみたりする場合があります。 |
case6
術前

術後

主訴 | 全体的に引っ込めたい、 口ゴボが気になる |
治療期間 | 1年8か月 |
治療費 | マウスピース矯正 ¥980,000(税込) |
治療内容 | 目立ちにくいマウスピース矯正(非抜歯矯正) 歯と歯の間に隙間をつくることにより、 歯列弓を広げながら治療を行いました。 |
治療のリスク | ・後戻りする可能性があるので リテーナーを最低でも矯正期間以上はつけること ・歯の移動中に、歯の神経が過敏になり冷たいものや熱いものがしみたりする場合があります。 |