
1日で終わるセラミック
審美治療:CEREC
目次(クリックで各項目へ移動できます)
詰め物の種類について
※横スクロール
| インレー | アンレー | クラウン |
|---|---|---|
![]() |
![]() |
![]() |
| 歯の内側でおさまるタイプの詰め物 | 歯の外側の一部まで覆われるタイプの物 | 歯全体を覆うタイプの被せ物 |
当院の審美歯科治療について
歯の役割には機能的側面・審美的側面があり、ともに身と心の健康に関して重要な要素です。
そんな重要な歯にも関わらず、一般的に歯の治療には時間がかかり
大変というイメージをお持ちの方が多いのではないでしょうか?
私たちも多忙により治療を受けたくても受けられない患者さまをたくさん見てきました。
2024年に当院は技工所を設立しました。

技工所と歯科医院の連携により、技工物を即日作製・装着することが可能となります。デジタル機器を用いることで、今までは治療が難しかった方にも審美歯科治療をご提供できる環境を整えました。
虫歯治療を行って終わりではなく、再治療にならないような工夫も治療過程で行っております。
当院独自のシステムを詳しくご紹介していきます。
当院のセラミック治療が
選ばれる2つの理由
1. 1日で終わるセラミック治療
通常、詰め物・被せ物を作製するのに、最低でも1週間はかかります。
当院が運営する技工所と連携することで、技工物を即日納品できる環境を整えました。
デジタル機器を用いて最短2半時間で作製完了。
何度も歯科医院に通うのが難しい方にも最適な治療法です。
当院では技工所と
直接連携が取れるため
1人1人にあった
最適な素材での詰めものが
作製することが可能です。

2. 当院専属の歯科技工士
当院には専属の歯科技工士が在籍しております。
素材を熟知しており、豊富な知識を有しております。
専属の技工士が在籍することによって、お悩みに素早く対応をすることができます。1人1人に合った噛み合わせや素材・歯の形などを歯科医師と連携をして作製いたします。
当院は無料カウンセリングやセカンドオピニオンも承っておりますのでお気軽にご相談ください。
| セラミック(E-Max) | ジルコニア | |
|---|---|---|
![]() |
![]() |
|
| メリット | ・審美性が高い ・ご自身の歯と強度が ほぼ同じ |
・強度がある |
| デメリット | ・保険適用外 | ・保険適用外 |
その他にも様々な美しい素材をご準備しております。
3.ファイバーコア
(繊維でできた土台)について
コア(土台)は、神経を取った歯の中の空洞を埋めつつ、歯根部分から被せ物の軸を立てて補強するために使用します。

| メリット | ・しなる性質があり、歯が割れる可能性が低い ・メタルフリーで、金属アレルギーの心配がない ・審美性に優れる ・歯の強度と近い ・接着性セメントを使用するので、外れにくく、 虫歯になりにくい |
| デメリット | ・保険適用外 |
セラミック治療の費用
詰め物の価格表
※横スクロール
| 小さな詰め物 (インレー) |
大きな詰め物 (アンレー) |
被せ物 (クラウン) |
|
|---|---|---|---|
| Premium (5年保証) |
|||
| ¥100,500 (税込¥110,550) |
¥108,400 (税込¥119,240) |
¥177,650 (税込¥195,415) |
|
| E-max ジルコニア (5年保証) |
|||
| ¥80,500 (税込¥88,550) |
¥88,400 (税込¥97,240) |
¥157,650 (税込¥173,415) |
|
| E-max ジルコニア (1年保証) |
|||
| ¥59,500 (税込¥65,450) |
¥67,400 (税込¥74,140) |
¥136,650 (税込¥150,315) |
「1DAY治療をご希望の方へ」
短期間での治療をご希望の方には、1歯につき¥10,000+税にて対応いたします。
お急ぎの方やご多忙な方も、安心してご相談ください。
ファイバーコアの価格
| ファイバーコア (1歯に対して) |
税込¥24,200 |
※2025年3月現在。
5年保証は別途¥21,000(税込¥23,100)かかります。
内容、価格等は予告なく変更する場合がございます。
詳しくはクリニックまでお問い合わせください。
ガイドデント保証について
GUIDEDENT AWARD 2025
PREMIUM受賞

この度、第三者保証機関「ガイドデント」15周年表彰において、
全国3,000件以上の認証医院の中から「PREMIUM医院(Best50)」に選出されました。
本表彰は、治療実績や再治療率などの客観的データをもとに評価されるもので、当法人が運営する博多駅前院・平尾院・福岡天神院の3院における過去6年間の治療実績が高く評価された結果です。
対象となった治療本数はインプラント・審美セラミック治療:計1,530本。
そのうち再治療は16本で、再治療率はわずか1.0%という極めて低い数値を達成しました。
この結果は、各院の歯科医師・歯科衛生士・スタッフ全員が「美しさ・機能性・長持ち」を大切にし、一本一本の治療に誠実に向き合ってきた積み重ねであり、そして何より、当院を信頼して通ってくださる患者さまの存在があってこそ得られたものです。
今回の受賞に伴い、PREMIUM認定トロフィーを拝受するとともに、ガイドデント公式サイトでの医院紹介も強化されました。これにより、患者さまがより安心して医院を選んでいただける環境が整っています。
今後も、確かな技術と実績に基づいた治療を通じて、皆様に信頼される歯科医療を提供してまいります。


年に2度以上の定期検診を受けていただいている場合、最大10万円までの保証が可能です。
| 審美 5年保証 申込料 | ¥23,100 |
※2026年2月現在。
詳しくはこちら
お支払い方法
| 現金 |
|---|
| 15万円を超える場合はお振込のみ |
| クレジットカード |
| 一括・分割払い可能 |
| デンタルローン |
| クレジットカードよりも利子が低く、 分割も最大120回まで可能。 ※ローンお見送りの場合、都度払い可 |
自費診療は、保険診療同様に
医療費控除の対象になります。
医療費控除を活用することで、
●確定申告を行うことで、控除が受けられます。
●通院にかかる交通費も対象になります。
●ご家族で年間総額10万円以上医療費が発生した場合に対象になります。
※領収書は再発行できませんので、お気をつけください。
医療費控除額のシュミレーション
※横スクロール
| 世帯年収 | 医療費控除 発生最低額 |
1年間で支払った医療費の合計 | ||||
|---|---|---|---|---|---|---|
| 20万 | 30万 | 50万 | 70万 | 100万 | ||
| 軽減される税額 | ||||||
| 300万円 | ¥96,000 | ¥15,000 | ¥30,000 | ¥60,000 | ¥90,000 | ¥106,000 |
| 500万円 | ¥100,000 | ¥20,000 | ¥40,000 | ¥80,000 | ¥120,000 | ¥180,000 |
| 700万円 | ¥100,000 | ¥30,000 | ¥60,000 | ¥120,000 | ¥180,000 | ¥270,000 |
| 1,000万円 | ¥100,000 | ¥30,000 | ¥66,000 | ¥132,000 | ¥198,000 | ¥297,000 |
そもそも、医療費控除とは?
治療費が一定額を超えると、所得に応じて国から補助を受けることができます。詳しくは国税庁HPへ。
セラミック治療の症例
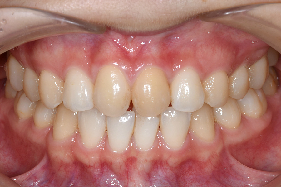
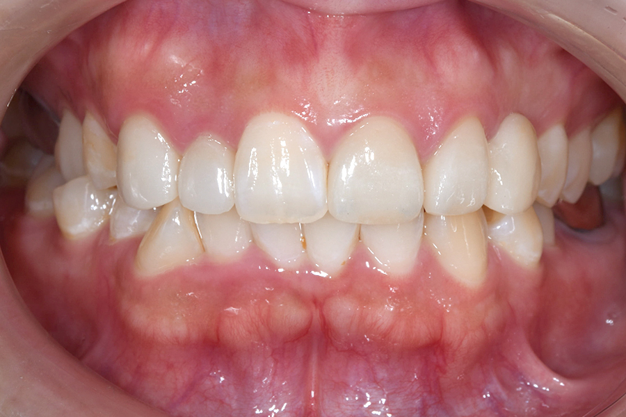
case1
術前
術後
| 主訴 | 歯が痛い、前歯を綺麗にしたい |
| 治療期間 | 3か月 |
| 治療費 | 1,426,790円(税込) |
| 治療内容 | 前歯が4本クラウンが入るように削り、型取りを行った。 クラウン完成後、装着し調整を行った。 |
| 治療のリスク | 治療によっては歯の体積を削る量が多い場合があります。 |
| 治療の副作用 | 治療後、軽い出血や痛みを伴う可能性があります。 稀にセラミックが欠ける場合があります。 |
case2
術前
術後
| 主訴 | 詰め物が取れた |
| 治療期間 | 3か月 |
| 治療費 | 780,000円(税込) |
| 治療内容 | 金属を変えたいという患者さまの希望の元、 装着されている金属を外し、形を修正して型取りを行った。 約1週間後完成したセラミックを装着した。 |
| 治療のリスク | 治療によっては歯の体積を削る量が多い場合があります。 |
| 治療の副作用 | 治療後、軽い出血や痛みを伴う可能性があります。 稀にセラミックが欠ける場合があります。 |
case3
術前
術後
術前
術後
| 主訴 | 右下奥歯が噛んだ時にチクッとした痛みがある |
| 治療期間 | 1か月 |
| 治療費 | 1,179,200円(税込) |
| 治療内容 | 上の前歯の審美性を回復させるために歯の一層を削合し型取りを行った。 約1週間後完成したラミネートべニアを装着した。 下の前歯はダイレクトボンディング法で充填を行い形態修正を行った。 |
| 治療のリスク | 治療によっては歯の体積を削る量が多い場合があります。 |
| 治療の副作用 | 治療後、軽い出血や痛みを伴う可能性があります。 稀にセラミックが欠ける場合があります。 |
case4
術前
術後
| 主訴 | 左下奥歯が治療途中 |
| 治療期間 | 虫歯・セラミック治療・メタルフリーのみ:約6か月 |
| 治療費 | 虫歯・セラミック治療・メタルフリーのみ 831,765円(税込) |
| 治療内容 | 根管治療後の歯に土台を立ててクラウンができるように形を削り型取りを行った。 約1週間後完成した被せ物を装着した。 金属の詰め物も変えるため、同様に形を整え型を取り詰め物を作成・装着した。 |
| 治療のリスク | 治療によっては歯の体積を削る量が多い場合があります。 |
| 治療の副作用 | 治療後、軽い出血や痛みを伴う可能性があります。 稀にセラミックが欠ける場合があります。 |
case5
術前
術後
| 主訴 | 前歯の形が気になるので綺麗にしたい |
| 治療期間 | 3か月 |
| 治療費 | 718,740円(税込) |
| 治療内容 | 審美性を回復させるために上の前歯5本の歯を一層削合し型取りを行った。 一度形を最終確認し、型どりから約2週間後完成したセラミックの被せ物と ブリッジを装着した。 |
| 治療のリスク | 治療によっては歯の体積を削る量が多い場合があります。 |
| 治療の副作用 | 治療後、軽い出血や痛みを伴う可能性があります。 稀にセラミックが欠ける場合があります。 |
case6
術前
術後
| 主訴 | ホワイトニングを行いたい |
| 治療期間 | 3週間 |
| 治療費 | 仮歯2本とセラミック2本 312,730円(税込) |
| 治療内容 | 審美性を回復させるために上の前歯2本の歯を一層削合し型取りを行った。 一度仮歯を装着し歯肉の形を整え最終確認し、 型どりから約2週間後完成したセラミックの被せ物を装着した。 |
| 治療のリスク | 治療によっては歯の体積を削る量が多い場合があります。 |
| 治療の副作用 | 治療後、軽い出血や痛みを伴う可能性があります。 稀にセラミックが欠ける場合があります。 |










