WEB予約はコチラから
お問い合わせはコチラから
当院の口コミはコチラから
  1. ホーム
  2. 症例

症例

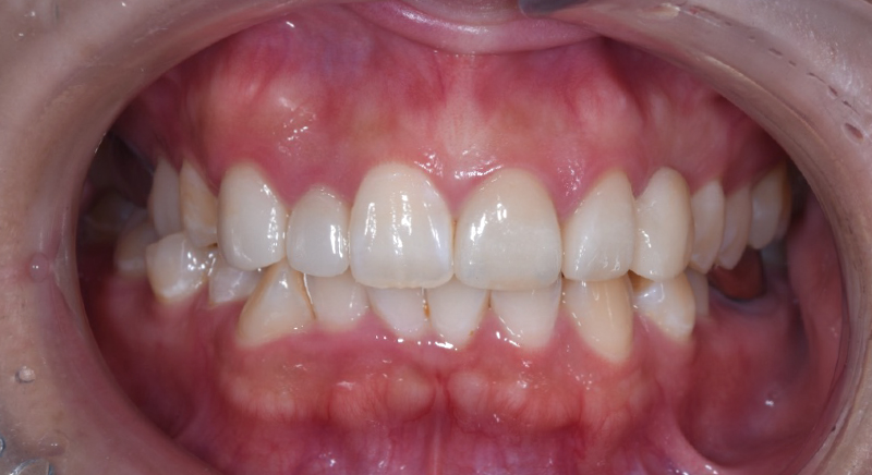
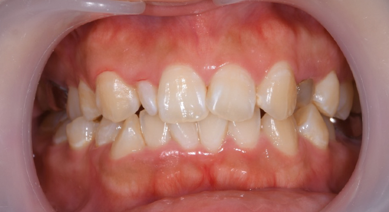
上下の前歯の
ガタツキが気になる
【マウスピース矯正】

2025-12-09

前歯の形が気になるので
綺麗にしたい
【セラミック治療】

主訴
前歯の形が気になるので綺麗にしたい
  • 院内紹介
  • 院内紹介
  • 院内紹介
  • 院内紹介
  • 院内紹介
  • 院内紹介
  • 院内紹介
  • 院内紹介
  • 院内紹介
  • 院内紹介
  • 院内紹介
  • 院内紹介
  • 院内紹介
  • 院内紹介
  • 院内紹介
  • 院内紹介
  • 院内紹介
  • 院内紹介