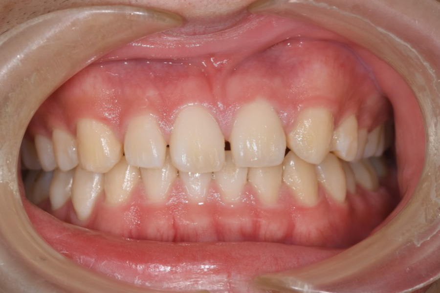
矯正治療
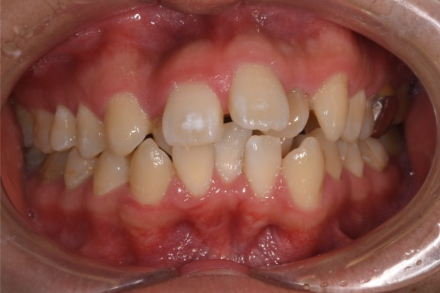
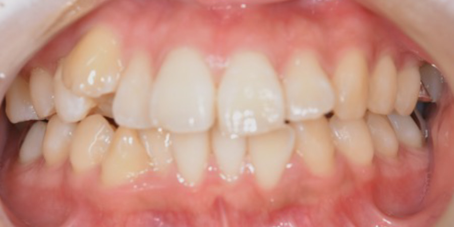
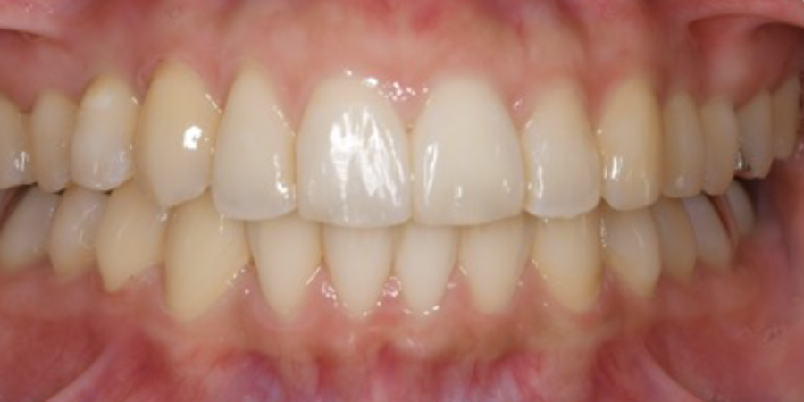
左側の顎がかくかくする
【マウスピース矯正】
- 担当医
- -
- 主訴
- 左側の顎がかくかくする
- 期間
- 1年3か月
- 費用
- マウスピース矯正
980,000円(税込)
- 治療内容
- 目立ちにくいマウスピース矯正(非抜歯矯正)
歯と歯の間に隙間をつくることにより、歯列弓を広げながら治療を行いました。
- 治療に伴うリスク
- ・後戻りする可能性があるのでリテーナーを最低でも矯正期間以上はつけること
・稀にほっぺた、唇、舌などに口内炎や傷ができることがあります
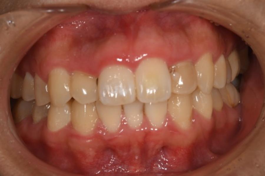
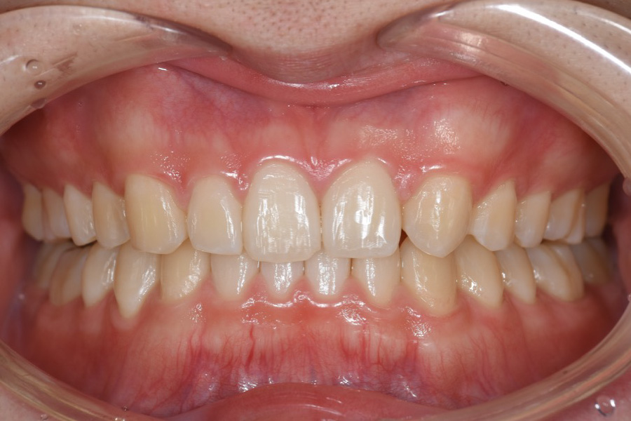
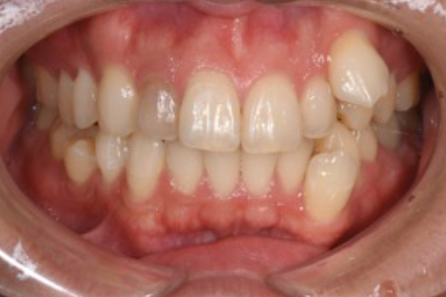
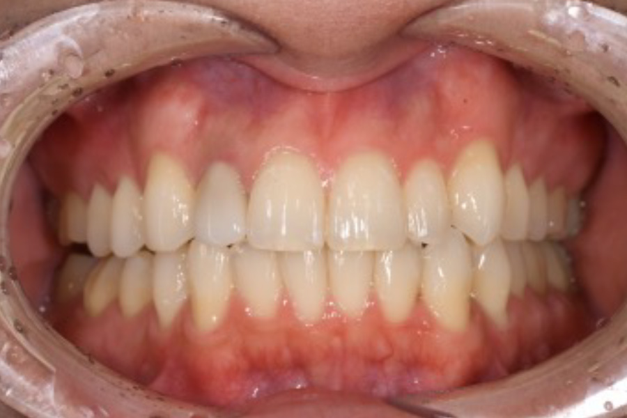
歯並びを治したい
【マウスピース矯正】
- 担当医
- -
- 主訴
- 歯並びを治したい
- 期間
- 2年6か月
- 費用
- マウスピース矯正
935,000円(税込)
- 治療内容
- 目立ちにくいマウスピース矯正(非抜歯矯正)
歯と歯の間に隙間をつくることにより、歯列弓を広げながら治療を行いました。
- 治療に伴うリスク
- ・後戻りする可能性があるのでリテーナーを最低でも矯正期間以上はつけること
・稀にほっぺた、唇、舌などに口内炎や傷ができることがあります
歯並びを治したい
【マウスピース矯正】
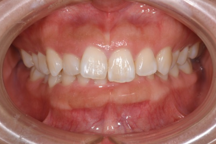
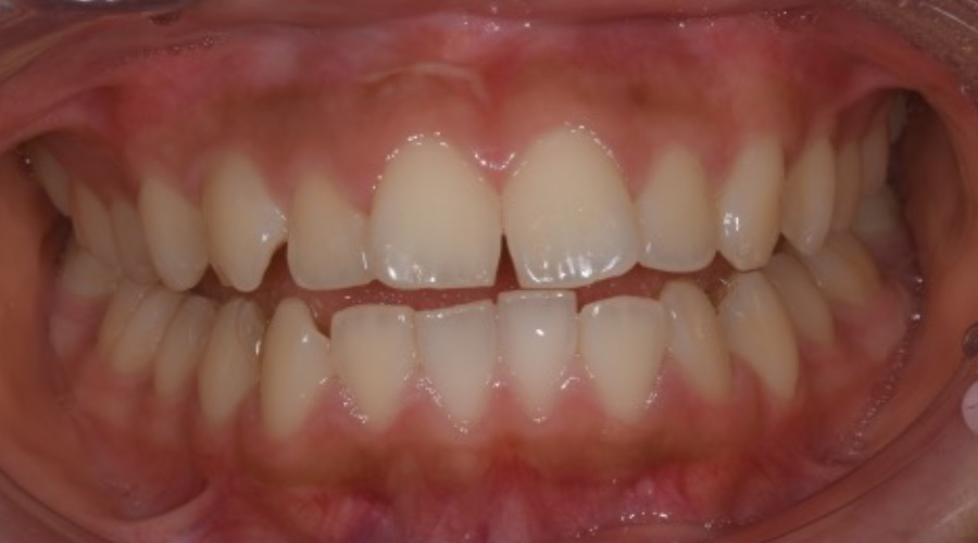
かみ合わせが悪い。
前歯がガタついている
【マウスピース矯正】
- 担当医
- -
- 主訴
- かみ合わせが悪い。前歯がガタついている。
- 期間
- 1年
- 費用
- マウスピース矯正
665,500円(税込)(2025年現在)
- 治療内容
- 目立ちにくいマウスピース矯正(非抜歯矯正)
歯と歯の間に隙間をつくることにより、歯列弓を広げながら治療を行いました。
- 治療に伴うリスク
- ・後戻りする可能性があるのでリテーナーを最低でも矯正期間以上はつけること
・稀にほっぺた、唇、舌などに口内炎や傷ができることがあります
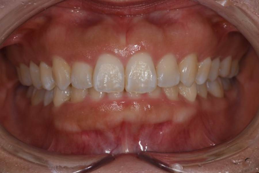
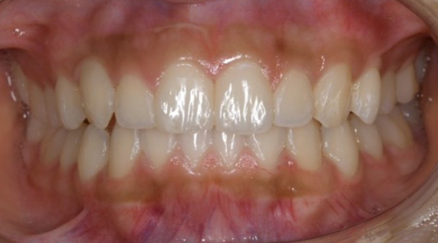
歯と歯の間に隙間がある
【マウスピース矯正】
上の前歯が前に出て口ゴボになっている。
歯がガタガタしている。
【マウスピース矯正】
- 担当医
- -
- 主訴
- 上の前歯が前に出て口ゴボになっている。
歯がガタガタしている。
- 期間
- 6か月
- 費用
- マウスピース矯正
839,300円(税込)
- 治療内容
- 目立ちにくいマウスピース矯正(非抜歯矯正)
歯と歯の間に隙間をつくることにより、歯列弓を広げながら治療を行いました。
- 治療に伴うリスク
- ・後戻りする可能性があるのでリテーナーを最低でも矯正期間以上はつけること
・稀にほっぺた、唇、舌などに口内炎や傷ができることがあります
右上右下の八重歯、
下の歯のガタつき、
上の前歯の突出感が気になる
【マウスピース矯正】
- 担当医
- -
- 主訴
- 右上右下の八重歯、下の歯のガタつき、上の前歯の突出感
- 期間
- 2年
- 費用
- マウスピース矯正
1,024,000円(税込)
- 治療内容
- 目立ちにくいマウスピース矯正(非抜歯矯正)
歯と歯の間に隙間をつくることにより、歯列弓を広げながら治療を行いました。
- 治療に伴うリスク
- ・後戻りする可能性があるのでリテーナーを最低でも矯正期間以上はつけること
・稀にほっぺた、唇、舌などに口内炎や傷ができることがあります
八重歯を含めた全体的なガタつき
【マウスピース矯正】
- 担当医
- -
- 主訴
- 八重歯を含めた全体的なガタつき
- 期間
- 2年
- 費用
- マウスピース矯正
1,024,000円(税込)
- 治療内容
- 目立ちにくいマウスピース矯正(非抜歯矯正)
歯と歯の間に隙間をつくることにより、歯列弓を広げながら治療を行いました。
- 治療に伴うリスク
- ・後戻りする可能性があるのでリテーナーを最低でも矯正期間以上はつけること
・稀にほっぺた、唇、舌などに口内炎や傷ができることがあります
反対咬合
【マウスピース矯正】
- 担当医
- -
- 主訴
- 反対咬合
- 期間
- 1年2か月
- 費用
- マウスピース矯正
1,024,000円(税込)
- 治療内容
- 目立ちにくいマウスピース矯正(非抜歯矯正)
歯と歯の間に隙間をつくることにより、歯列弓を広げながら治療を行いました。
- 治療に伴うリスク
- ・後戻りする可能性があるのでリテーナーを最低でも矯正期間以上はつけること
・稀にほっぺた、唇、舌などに口内炎や傷ができることがあります
歯を矯正したい
【マウスピース矯正】
- 担当医
- -
- 主訴
- 矯正希望
- 期間
- 5年
- 費用
- マウスピース矯正とプレミアムホワイトニングセット
1,280,340円(税込)
- 治療内容
- 目立ちにくいマウスピース矯正(非抜歯矯正)
歯と歯の間に隙間をつくることにより、歯列弓を広げながら治療を行いました。
また矯正用マウスピースをトレー代わりにし、ジェルを入れてホームホワイトニングを同時に行っております。
- 治療に伴うリスク
- ・後戻りする可能性があるのでリテーナーを最低でも矯正期間以上はつけること
・ホワイトニング後、一時的に痛みが出る場合があります
・稀にほっぺた、唇、舌などに口内炎や傷ができることがあります
































