WEB予約はコチラから
お問い合わせはコチラから
当院の口コミはコチラから
  1. ホーム
  2. 症例
  3. 目立たない矯正(マウスピース矯正)
  4. 八重歯を含めた全体的なガタつき【マウスピース矯正】

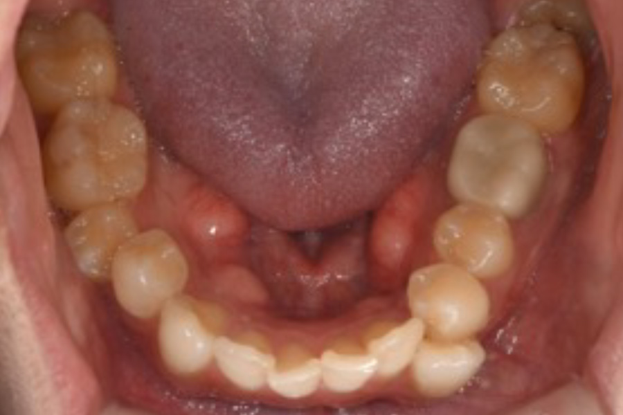
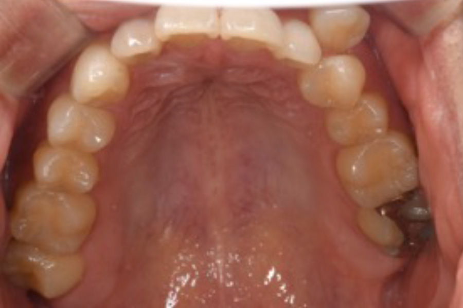
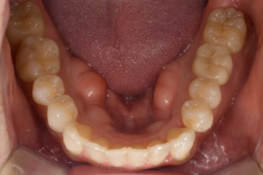
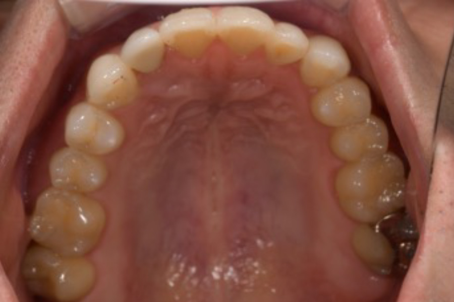
八重歯を含めた全体的なガタつき
【マウスピース矯正】

治療前

治療後

治療前

治療後

治療前

治療後

主訴 八重歯を含めた全体的なガタつき
期間 2年
費用 マウスピース矯正
1,024,000円(税込)
治療内容 目立ちにくいマウスピース矯正(非抜歯矯正)
歯と歯の間に隙間をつくることにより、歯列弓を広げながら治療を行いました。
治療に伴うリスク ・後戻りする可能性があるのでリテーナーを最低でも矯正期間以上はつけること
・稀にほっぺた、唇、舌などに口内炎や傷ができることがあります

関連症例

  • 院内紹介
  • 院内紹介
  • 院内紹介
  • 院内紹介
  • 院内紹介
  • 院内紹介
  • 院内紹介
  • 院内紹介
  • 院内紹介
  • 院内紹介
  • 院内紹介
  • 院内紹介
  • 院内紹介
  • 院内紹介
  • 院内紹介
  • 院内紹介
  • 院内紹介
  • 院内紹介