WEB予約はコチラから
お問い合わせはコチラから
当院の口コミはコチラから
  1. ホーム
  2. 症例
  3. 目立たない矯正(マウスピース矯正)
  4. 上下前歯のガタツキとかみ合わせが悪い【マウスピース矯正】

上下前歯のガタツキと
かみ合わせが悪い
【マウスピース矯正】

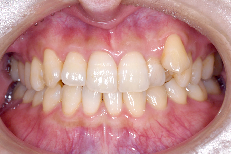
治療前

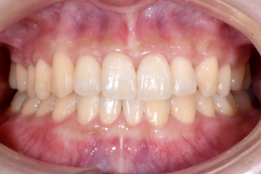
治療後

主訴 上下前歯のガタツキとかみ合わせが悪い
期間 5か月
費用 マウスピース矯正
476,650円(税込)
治療内容 目立ちにくいマウスピース矯正(非抜歯矯正)
歯と歯の間に隙間をつくることにより、歯列弓を広げながら治療を行いました。
治療に伴うリスク ・後戻りする可能性があるのでリテーナーを最低でも矯正期間以上はつけること。
・稀にほっぺた、唇、舌などに口内炎や傷ができることがあります。

関連症例

  • 院内紹介
  • 院内紹介
  • 院内紹介
  • 院内紹介
  • 院内紹介
  • 院内紹介
  • 院内紹介
  • 院内紹介
  • 院内紹介
  • 院内紹介
  • 院内紹介
  • 院内紹介
  • 院内紹介
  • 院内紹介
  • 院内紹介
  • 院内紹介
  • 院内紹介
  • 院内紹介