WEB予約はコチラから
お問い合わせはコチラから
当院の口コミはコチラから
  1. ホーム
  2. 症例
  3. 目立たない矯正(マウスピース矯正)
  4. 右上が気になる。下顎の歯並びを治したい。【マウスピース矯正】

右上が気になる。
下顎の歯並びを治したい。
【マウスピース矯正】

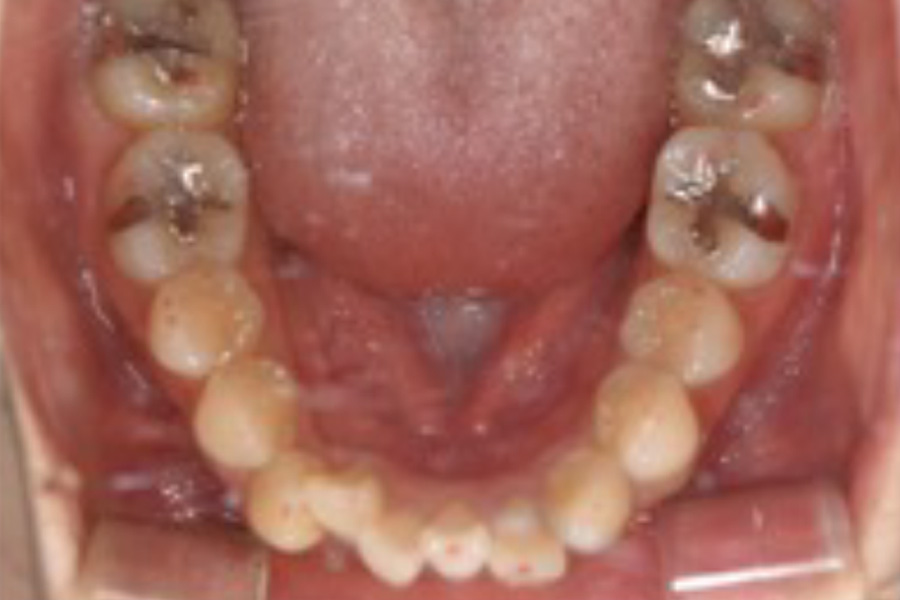
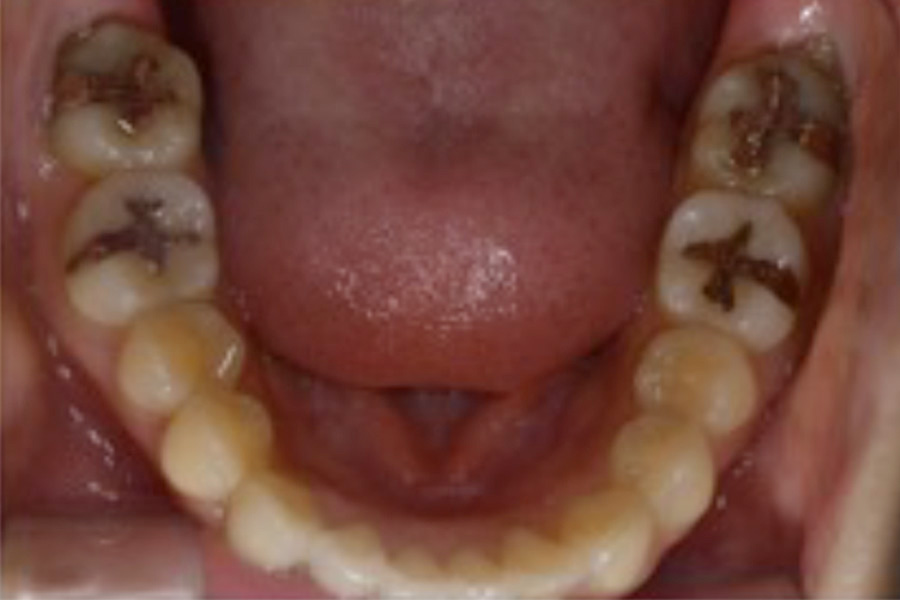
治療前

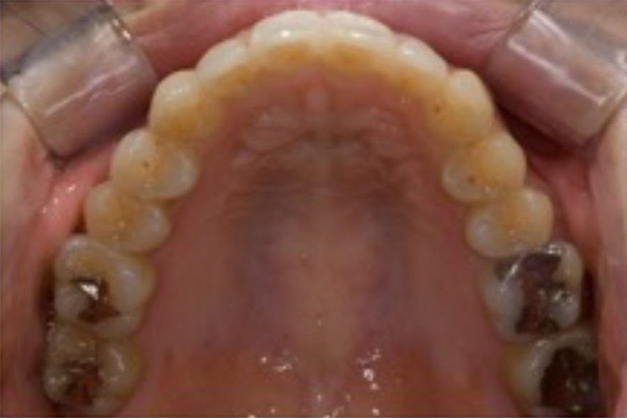
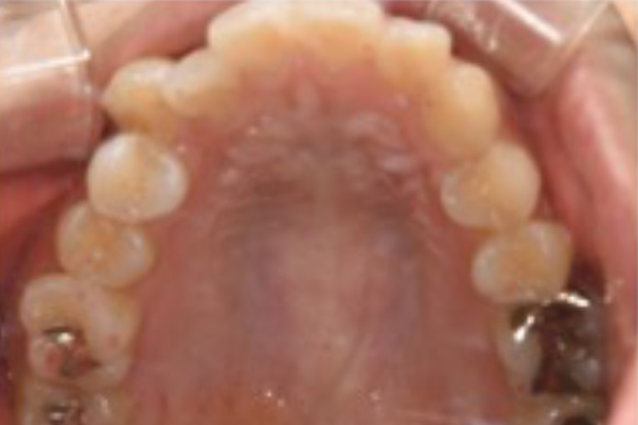
治療後

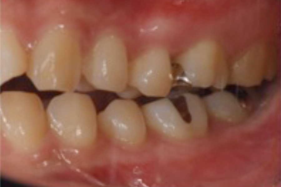
主訴 右上が気になる。下顎の歯並びを治したい。
期間 3年
費用 マウスピース矯正
980,000円(税込)(2024年時点)
治療内容 目立ちにくいマウスピース矯正(非抜歯矯正)
歯と歯の間に隙間をつくることにより、歯列弓を広げながら治療を行いました。
治療に伴うリスク ・後戻りする可能性があるのでリテーナーを最低でも矯正期間以上はつけること
・稀にほっぺた、唇、舌などに口内炎や傷ができることがあります

関連症例

  • 院内紹介
  • 院内紹介
  • 院内紹介
  • 院内紹介
  • 院内紹介
  • 院内紹介
  • 院内紹介
  • 院内紹介
  • 院内紹介
  • 院内紹介
  • 院内紹介
  • 院内紹介
  • 院内紹介
  • 院内紹介
  • 院内紹介
  • 院内紹介
  • 院内紹介
  • 院内紹介