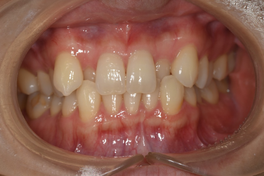
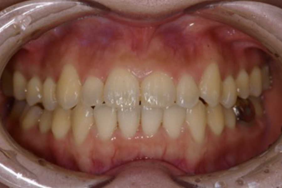
噛み合わせが悪い
上の前歯の隙間と
下の前歯のガタツキ、
かみ合わせが悪い
【ホームホワイトニング】
- 担当医
- 主訴
- 上の前歯の隙間と下の前歯のガタツキ、かみ合わせが悪い
- 期間
- 1年3か月
- 費用
- マウスピース矯正とホワイトニングセット
1,018,296円(税込)
- 治療内容
- 目立ちにくいマウスピース矯正(非抜歯矯正)
歯と歯の間に隙間をつくることにより、歯列弓を広げながら治療を行いました。
また矯正用マウスピースをトレー代わりにし、ジェルを入れてホームホワイトニングを同時に行っております。
- 治療に伴うリスク
- ・後戻りする可能性があるので、最低でもリテーナーを矯正期間以上は装着いただきます。
・ホワイトニング後、一時的に痛みが出る場合があります。
・稀にほっぺた、唇、舌などに口内炎や傷ができることがあります。
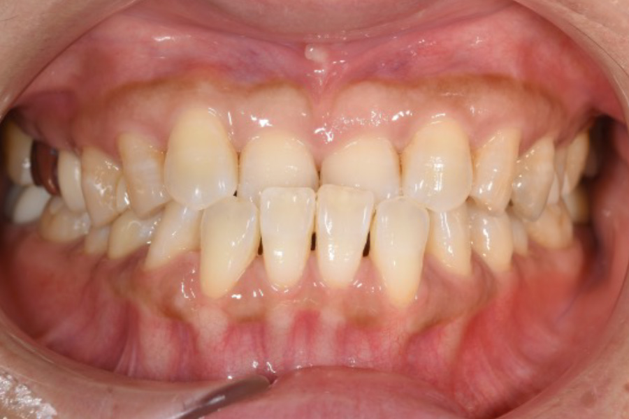
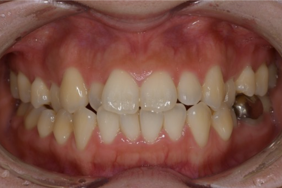
上の前歯の隙間と
下の前歯のガタツキ、
かみ合わせが悪い
【ホームホワイトニング】
- 担当医
- 主訴
- 上の前歯の隙間と下の前歯のガタツキ、かみ合わせが悪い
- 期間
- 1年2か月
- 費用
- マウスピース矯正とホワイトニングセット
1,018,296円(税込)
- 治療内容
- 目立ちにくいマウスピース矯正(非抜歯矯正)
歯と歯の間に隙間をつくることにより、歯列弓を広げながら治療を行いました。
また矯正用マウスピースをトレー代わりにし、ジェルを入れてホームホワイトニングを同時に行っております。
- 治療に伴うリスク
- ・後戻りする可能性があるので、最低でもリテーナーを矯正期間以上は装着いただきます。
・ホワイトニング後、一時的に痛みが出る場合があります。
・稀にほっぺた、唇、舌などに口内炎や傷ができることがあります。
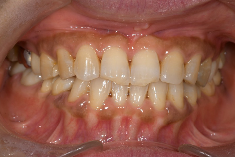
歯並びを治したい
【マウスピース矯正】
上下前歯のすきっ歯が
気になる
【マウスピース矯正】
前歯の噛み合わせ、
下顎前歯の隙間が気になる
【マウスピース矯正】
上下前歯のガタツキ、
かみ合わせが悪い
【マウスピース矯正】
- 担当医
- 主訴
- 上下前歯のガタツキ、かみ合わせが悪い
- 期間
- 1年3か月
- 費用
- マウスピース矯正とホワイトニングセット
1,018,296円(税込)
- 治療内容
- 目立ちにくいマウスピース矯正(非抜歯矯正)
歯と歯の間に隙間をつくることにより、歯列弓を広げながら治療を行いました。
また矯正用マウスピースをトレー代わりにし、ジェルを入れてホームホワイトニングを同時に行っております。
- 治療に伴うリスク
- ・後戻りする可能性があるのでリテーナーを最低でも矯正期間以上はつけること。
・ホワイトニング後、一時的に痛みが出る場合があります。
・稀にほっぺた、唇、舌などに口内炎や傷ができることがあります。
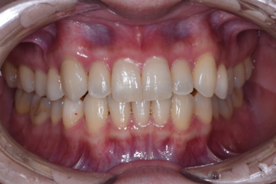
上の前歯の隙間と
下の前歯のガタツキ、
かみ合わせが悪い
【マウスピース矯正】
- 担当医
- 主訴
- 上の前歯の隙間と下の前歯のガタツキ、かみ合わせが悪い
- 期間
- 1年2か月
- 費用
- マウスピース矯正とホワイトニングセット
1,018,296円(税込)
- 治療内容
- 目立ちにくいマウスピース矯正(非抜歯矯正)
歯と歯の間に隙間をつくることにより、歯列弓を広げながら治療を行いました。
また矯正用マウスピースをトレー代わりにし、ジェルを入れてホームホワイトニングを同時に行っております。
- 治療に伴うリスク
- ・後戻りする可能性があるのでリテーナーを最低でも矯正期間以上はつけること。
・ホワイトニング後、一時的に痛みが出る場合があります。
・稀にほっぺた、唇、舌などに口内炎や傷ができることがあります。
上下前歯のガタツキと
かみ合わせが悪い
【マウスピース矯正】
- 担当医
- 主訴
- 上下前歯のガタツキとかみ合わせが悪い
- 期間
- 5か月
- 費用
- マウスピース矯正
476,650円(税込)
- 治療内容
- 目立ちにくいマウスピース矯正(非抜歯矯正)
歯と歯の間に隙間をつくることにより、歯列弓を広げながら治療を行いました。
- 治療に伴うリスク
- ・後戻りする可能性があるのでリテーナーを最低でも矯正期間以上はつけること。
・稀にほっぺた、唇、舌などに口内炎や傷ができることがあります。
上下前歯のガタツキ、
かみ合わせが悪い
【マウスピース矯正】
- 担当医
- 主訴
- 上下前歯のガタツキ、かみ合わせが悪い
- 期間
- 2年3か月
- 費用
- マウスピース矯正とホワイトニングセット
1,018,296円(税込)
- 治療内容
- 目立ちにくいマウスピース矯正(非抜歯矯正)
歯と歯の間に隙間をつくることにより、歯列弓を広げながら治療を行いました。
また矯正用マウスピースをトレー代わりにし、ジェルを入れてホームホワイトニングを同時に行っております。
- 治療に伴うリスク
- ・後戻りする可能性があるのでリテーナーを最低でも矯正期間以上はつけること。
・ホワイトニング後、一時的に痛みが出る場合があります。
・稀にほっぺた、唇、舌などに口内炎や傷ができることがあります。
かみ合わせが悪く
ほうれい線が気になる
【ヒアルロン酸注入】
- 担当医
- -
- 主訴
- かみ合わせが悪い
- 期間
- 1日
- 費用
- ヒアルロン酸注入(キャンペーン)
44,000円(税込)
- 治療内容
- ヒアルロン酸注入
かみ合わせが悪くほうれい線が気になるとのことでヒアルロン酸注入をご案内した。
あわせて虫歯治療を行った。
- 治療に伴うリスク
- ・稀に2~3日は鈍痛・腫れ・熱さ、内出血は1~2週間残る場合があります
・薬剤の馴染みや効果の維持にも個人差があります
































