WEB予約はコチラから
お問い合わせはコチラから
当院の口コミはコチラから
  1. ホーム
  2. 症例
  3. ホワイトニング
  4. 上の前歯の隙間と下の前歯のガタツキ、かみ合わせが悪い【ホームホワイトニング】

上の前歯の隙間と
下の前歯のガタツキ、
かみ合わせが悪い
【ホームホワイトニング】

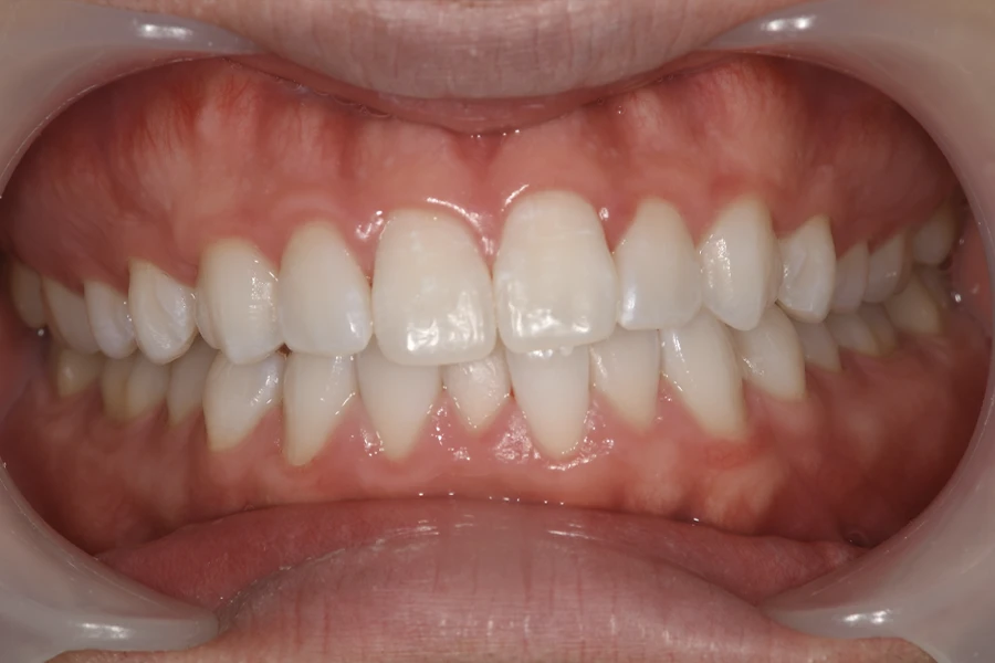
治療前

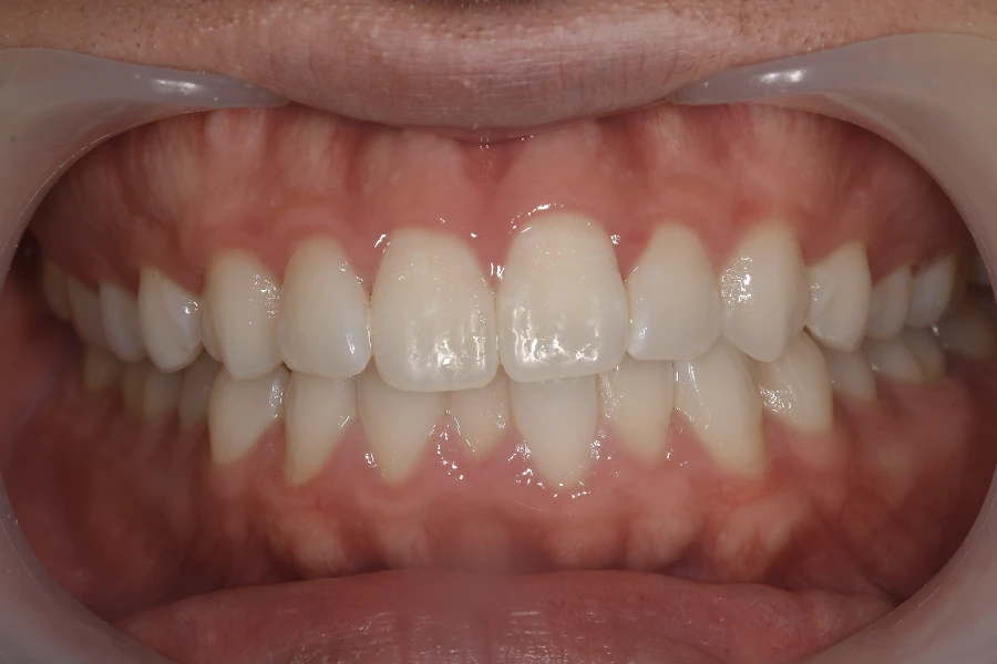
治療後

主訴 上の前歯の隙間と下の前歯のガタツキ、かみ合わせが悪い
期間 1年2か月
費用 マウスピース矯正とホワイトニングセット
1,018,296円(税込)
治療内容 目立ちにくいマウスピース矯正(非抜歯矯正)
歯と歯の間に隙間をつくることにより、歯列弓を広げながら治療を行いました。
また矯正用マウスピースをトレー代わりにし、ジェルを入れてホームホワイトニングを同時に行っております。
治療に伴うリスク ・後戻りする可能性があるので、最低でもリテーナーを矯正期間以上は装着いただきます。
・ホワイトニング後、一時的に痛みが出る場合があります。
・稀にほっぺた、唇、舌などに口内炎や傷ができることがあります。

関連症例

  • 院内紹介
  • 院内紹介
  • 院内紹介
  • 院内紹介
  • 院内紹介
  • 院内紹介
  • 院内紹介
  • 院内紹介
  • 院内紹介
  • 院内紹介
  • 院内紹介
  • 院内紹介
  • 院内紹介
  • 院内紹介
  • 院内紹介
  • 院内紹介
  • 院内紹介
  • 院内紹介