WEB予約はコチラから
お問い合わせはコチラから
当院の口コミはコチラから
  1. ホーム
  2. 症例
  3. ホワイトニング
  4. 上下前歯のガタツキとねじれが気になる【マウスピース矯正】

上下前歯のガタツキと
ねじれが気になる
【マウスピース矯正】

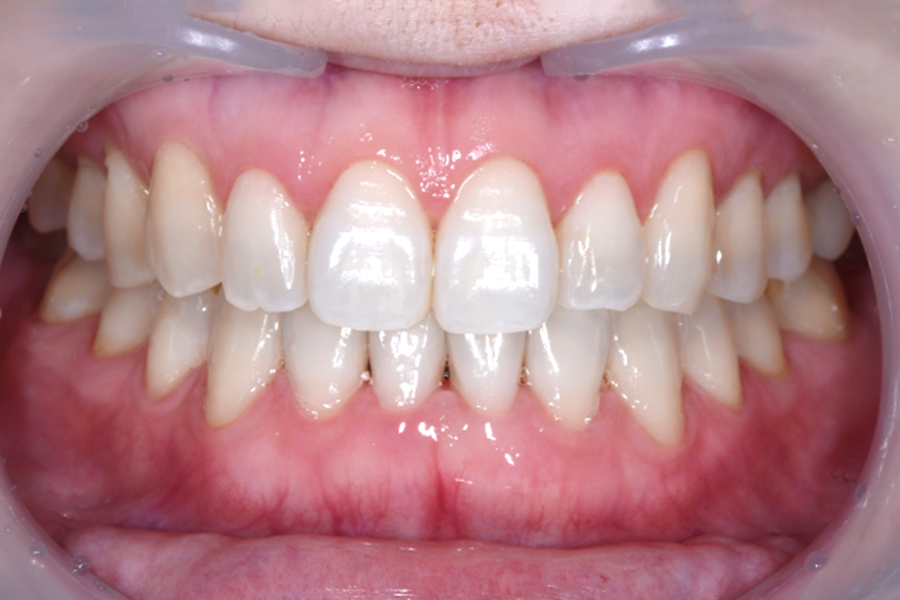
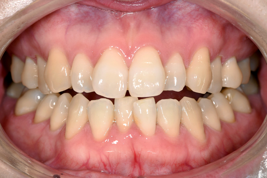
治療前

治療後

主訴 上下前歯のガタツキとねじれが気になる
期間 1年1か月
費用 マウスピース矯正とホワイトニングセット
956,596円(税込)
治療内容 目立ちにくいマウスピース矯正(非抜歯矯正)
歯と歯の間に隙間をつくることにより、歯列弓を広げながら治療を行いました。
また矯正用マウスピースをトレー代わりにし、ジェルを入れてホームホワイトニングを同時に行っております。
治療に伴うリスク ・後戻りする可能性があるのでリテーナーを最低でも矯正期間以上はつけること。
・ホワイトニング後、一時的に痛みが出る場合があります。
・稀にほっぺた、唇、舌などに口内炎や傷ができることがあります。

関連症例

  • 院内紹介
  • 院内紹介
  • 院内紹介
  • 院内紹介
  • 院内紹介
  • 院内紹介
  • 院内紹介
  • 院内紹介
  • 院内紹介
  • 院内紹介
  • 院内紹介
  • 院内紹介
  • 院内紹介
  • 院内紹介
  • 院内紹介
  • 院内紹介
  • 院内紹介
  • 院内紹介