WEB予約はコチラから
お問い合わせはコチラから
当院の口コミはコチラから
  1. ホーム
  2. 症例
  3. ホワイトニング
  4. ホワイトニングを行いたい【デュアルホワイトニング】

ホワイトニングを行いたい
【デュアルホワイトニング】

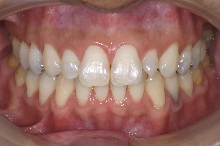
治療前

治療後

主訴 ホワイトニングを行いたい
期間 2週間
費用 デュアルホワイトニング(キャンペーン)
98,450円(税込)
治療内容 歯医者さんで行うオフィスホワイトニングを3回行いながら自宅で行うホームホワイトニングを併用して行いました。
その後「上の前歯の形を変えたい」と希望があり、セラミック治療を実施しました。
治療に伴うリスク ・長時間おこなうと一時的にしみる可能性があります。
・色が後戻りしていないかメンテナンスが必要です。

関連症例

  • 院内紹介
  • 院内紹介
  • 院内紹介
  • 院内紹介
  • 院内紹介
  • 院内紹介
  • 院内紹介
  • 院内紹介
  • 院内紹介
  • 院内紹介
  • 院内紹介
  • 院内紹介
  • 院内紹介
  • 院内紹介
  • 院内紹介
  • 院内紹介
  • 院内紹介
  • 院内紹介