WEB予約はコチラから
お問い合わせはコチラから
当院の口コミはコチラから
  1. ホーム
  2. 症例
  3. 審美歯科治療
  4. ホワイトニングを行いたい【セラミック治療】

ホワイトニングを行いたい
【セラミック治療】

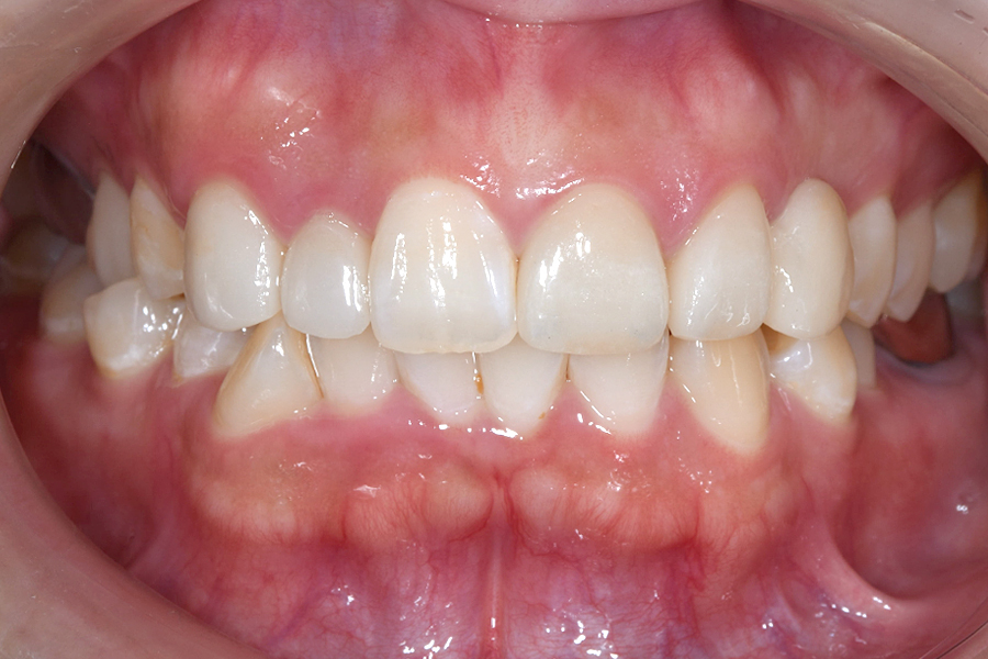
治療前

治療後

主訴 ホワイトニングを行いたい
期間 3週間
費用 仮歯2本とセラミック2本
312,730円(税込)
治療内容 審美性を回復させるために上の前歯2本の歯を一層削合し型取りを行った。
一度仮歯を装着し歯肉の形を整え最終確認し、型どりから約2週間後完成したセラミックの被せ物を装着した。
治療に伴うリスク 治療によっては歯の体積を削る量が多い場合があります。
治療後、軽い出血や痛みを伴う可能性があります。
稀にセラミックが欠ける場合があります。

関連症例

  • 院内紹介
  • 院内紹介
  • 院内紹介
  • 院内紹介
  • 院内紹介
  • 院内紹介
  • 院内紹介
  • 院内紹介
  • 院内紹介
  • 院内紹介
  • 院内紹介
  • 院内紹介
  • 院内紹介
  • 院内紹介
  • 院内紹介
  • 院内紹介
  • 院内紹介
  • 院内紹介