WEB予約はコチラから
お問い合わせはコチラから
当院の口コミはコチラから
  1. ホーム
  2. 症例

症例

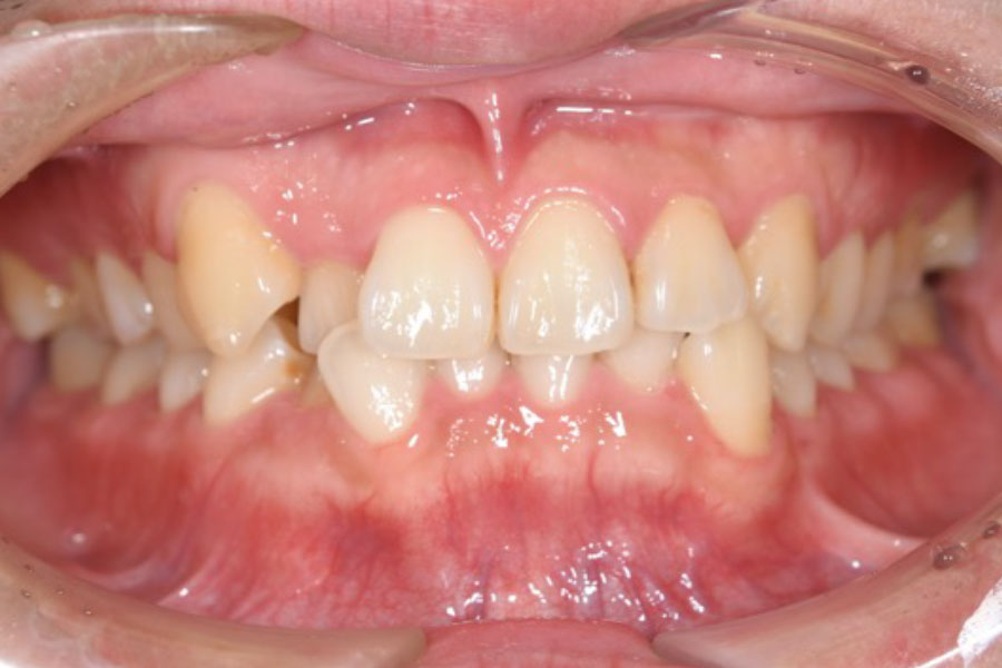
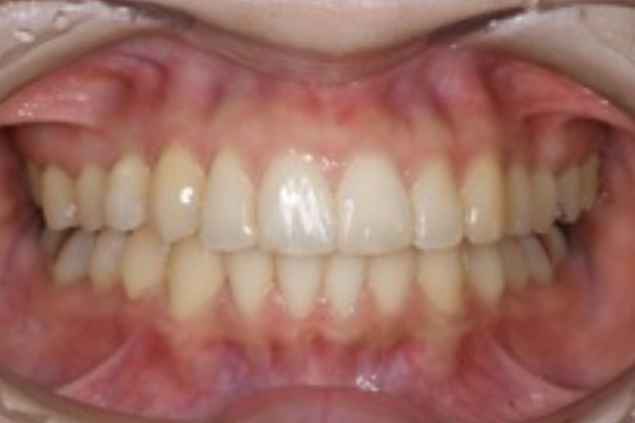
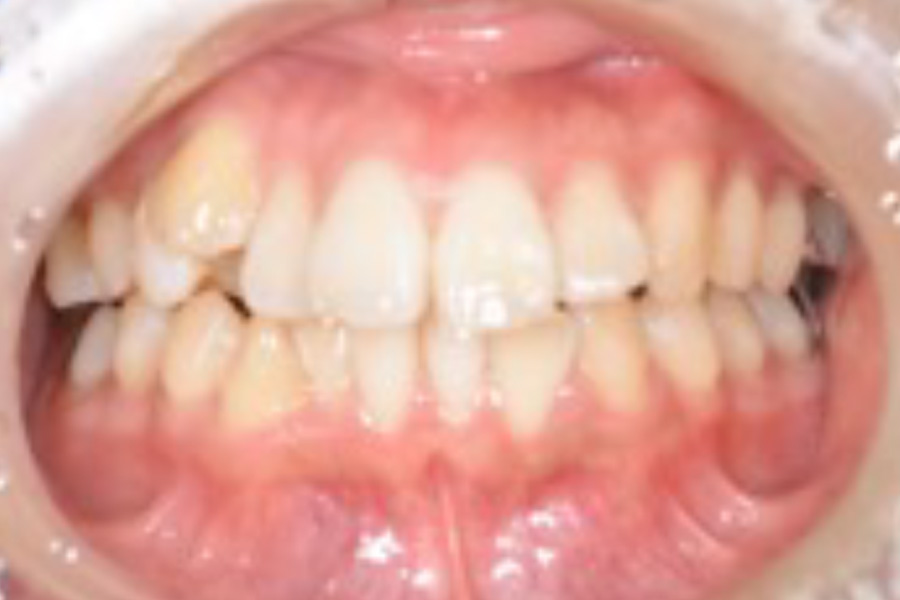
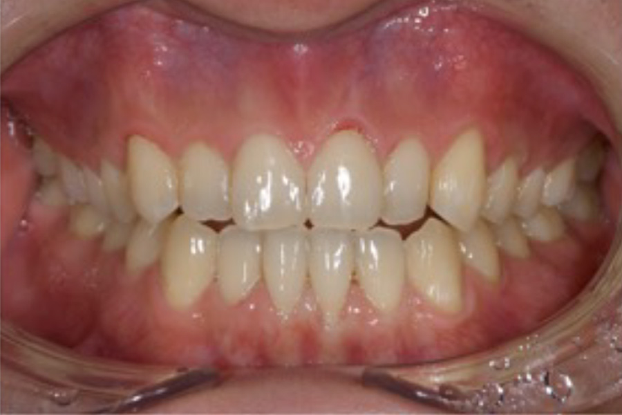
八重歯があり
歯磨きがやりづらい
【マウスピース矯正】

八重歯が気になる
【マウスピース矯正】

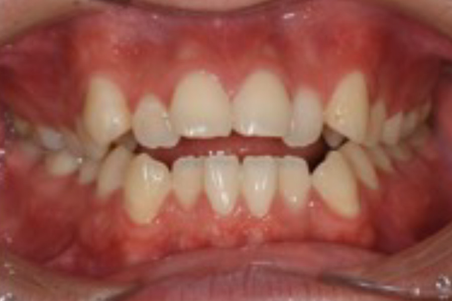
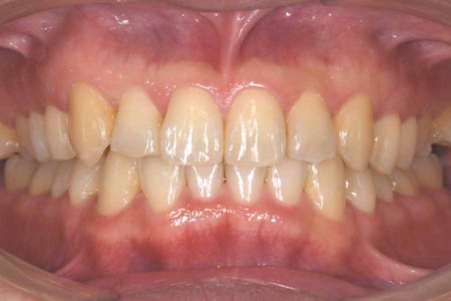
上下前歯のガタツキと
口ボゴ、突出が気になる
【マウスピース矯正】

上下前歯のガタツキが
気になる
【マウスピース矯正】

下の前歯の隙間が
気になる
【マウスピース矯正】

上下の前歯の
ガタツキが気になる
【マウスピース矯正】

2025-12-09

前歯の形が気になるので
綺麗にしたい
【セラミック治療】

主訴
前歯の形が気になるので綺麗にしたい

歯を白くしたい
【オフィスホワイトニング】

歯が痛い、前歯を綺麗にしたい
【セラミック治療・
ダイレクトボンディング・
オフィスホワイトニング】

右下奥歯が噛んだ時に
チクッとした痛みがある
【ラミネートベニア・
ダイレクトボンディング・
オフィスホワイトニング】

  • 院内紹介
  • 院内紹介
  • 院内紹介
  • 院内紹介
  • 院内紹介
  • 院内紹介
  • 院内紹介
  • 院内紹介
  • 院内紹介
  • 院内紹介
  • 院内紹介
  • 院内紹介
  • 院内紹介
  • 院内紹介
  • 院内紹介
  • 院内紹介
  • 院内紹介
  • 院内紹介