| 診療時間 |
月 |
火 |
水 |
木 |
金 |
土 |
日 |
| 09:30-19:00 |
● |
● |
/ |
● |
● |
● |
/ |
*休診日:水曜・日曜・祝日
*祝日がある週は水曜日は診療日となります。
*最終受付は18:00となります。
| 住所 |
: |
〒812-0012 福岡県福岡市博多区 博多駅中央街7番8号 博多駅中央駐車場ビル1F |
| アクセス |
: |
○ 博多駅前から徒歩約1分 |
| お電話 |
: |
092-710-4698 (市内限定:0120-825-118) |
| 診療内容 |
: |
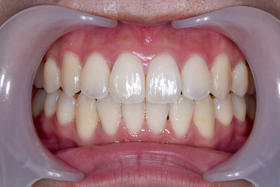
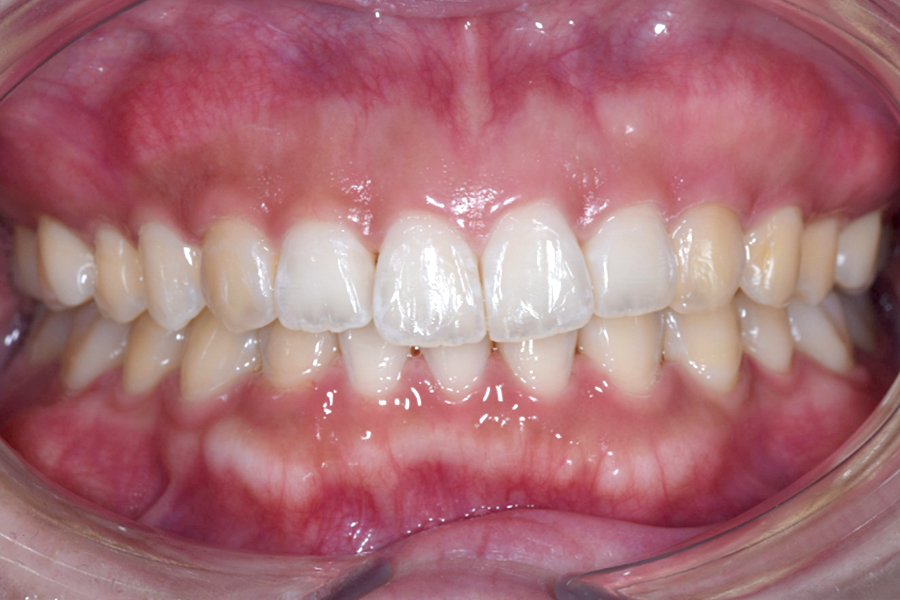
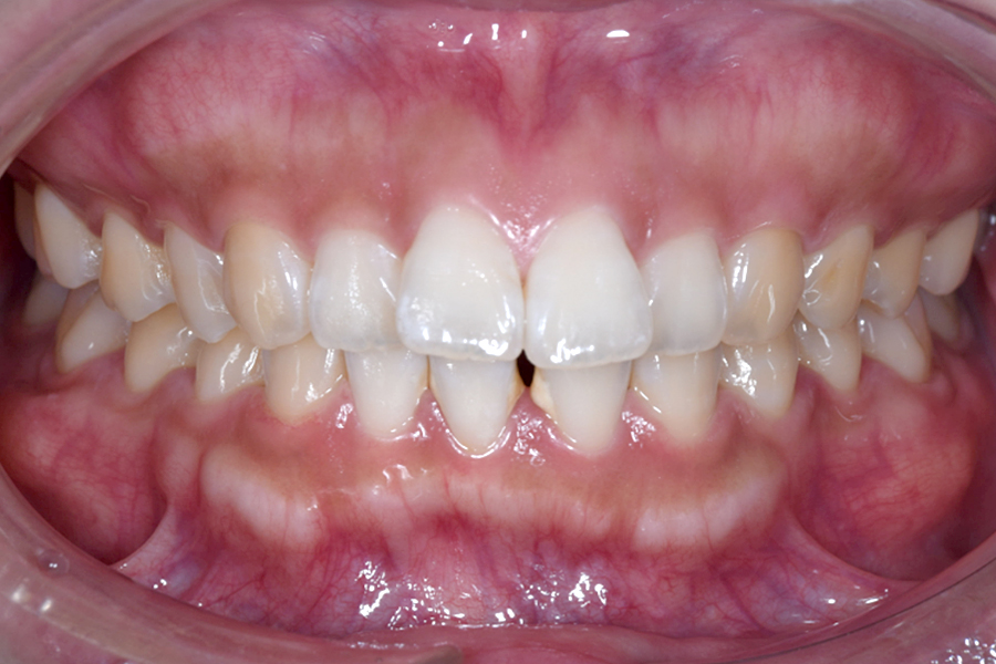
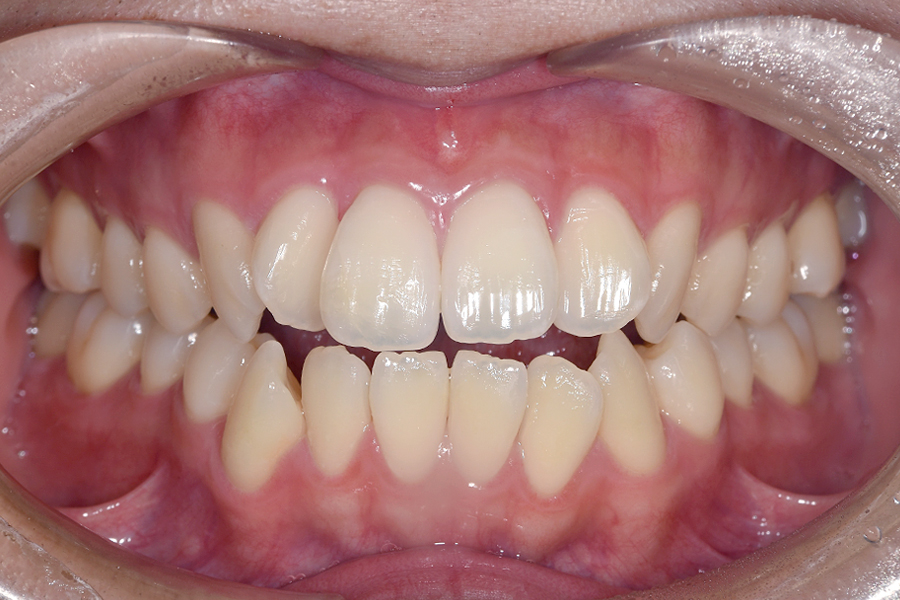
一般歯科・矯正歯科・口腔外科・審美歯科
ホワイトニング・インプラント(CT画像診断)
アンチエイジング・サプリメント外来
高濃度ビタミンC点滴・再生医療 |
患者さまへのご案内
(保険医療機関における書面掲示)
1.明細書について
当院は療担規則に則り明細書については無償で交付いたします。
2.医療情報の活用について
当院は質の高い診療を実施するため、オンライン資格確認から取得する情報を活用して診療をおこなっています。
医療DX推進体制整備加算に係る掲示
当院は医療DX推進して質の高い医療を提供できるように体制整備を行っております。
1.オンライン請求を行っております。
2.電子資格確認を利用して取得した診療情報を、診察室で閲覧又は活用できる体制を有しております。
3.電子処方箋を発行する体制を導入しております。
4.電子カルテ情報共有サービスを活用できる体制については、今後導入検討しております。
5.マイナンバーカードの健康保険証利用の使用について、お声掛け・院内掲示を行っています。
外来医療の安全対策に関するお知らせ
当院では、診療中に発生する可能性のある緊急時の対応に備え、以下の医療機関と連携体制を整えています。■ 緊急時連携医療機関
医療機関名:福岡赤十字病院
所在地:福岡県福岡市南区大楠3丁目1-1
電話番号:0570-03-1211
また、職員に対する医療安全に関する研修の実施、緊急対応マニュアルの整備など、医療安全の確保に努めています。ご不明な点がありましたら、お気軽に受付までお尋ねください。